اسباب ظهور حبوب في اللثة
اسباب ظهور حبوب في اللثة هو مرض يصيب اللثة بسبب البكتيريا المسببة للبلاك أو ما يسمى ببكتيريا الأغشية الحيوية التي تظهر على الأسنان واللثة، وهو أكثر شيوعًا عند الأطفال وتسمى هذه القرحات بالإصابات الصغيرة، والتي تظهر في الأنسجة الرخوة للفم أو في جذور اللثة، ويمكن علاجها بالعديد من الطرق والأدوية الطبيعية من أجل القضاء على الانزعاج الناجم عن هذه القرح.

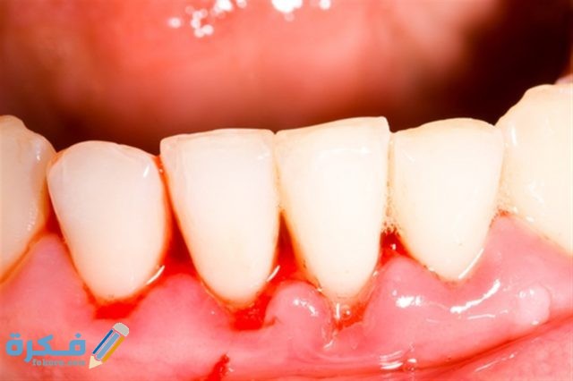
سبب ظهور حبوب اللثة
حب الشباب يعود إلى تراكم البكتيريا بين وحول الأسنان، ويؤدي إلى حدوث التهاب اللثة مما يجعل جهاز المناعة في الجسم يعمل على محاولة القضاء على هذه البكتيريا وينتج حدوث التهاب اللثة بالإضافة إلى ذلك هناك أسباب أخرى منها:
- تغيرات هرمونية معينة في الجسم مثل البلوغ والحمل وانقطاع الطمث.
- افتقار الجسم للعناصر الغذائية مثل حمض الفوليك وفيتامين12.
- الإصابة بأمراض معينة وتشمل الأمثلة السرطان ومتلازمة نقص المناعة ومتلازمة نقص المناعة المكتسب ومرض كرون، والتهاب القولون التقرحي.
- نقص المناعة ومرض السكري، حيث تؤثر المستويات العالية من السكر في الجسم على امتصاص السكر من الطعام لذلك فإن سبب الإصابة بتسوس الأسنان والتهاب اللثة هو عدم استطاعة الجسم مقاومة العدوى
- اتباع عادات غير صحية مثل شرب الكحول، عدم الاهتمام بغسل الأسنان، التدخين.
- عوامل وراثية.
- تعاطي أدوية قد تكون لها أعراض جانبية تؤثر على اللثة واللعاب في جوف الفم.
- التعرض للتعب الشديد أو الإجهاد لفترة متواصلة.
- وجود حساسية من أطعمة معينة مثل حساسية الشيكولاتة أو المكسرات وهناك البعض يعاني من حساسية من المواد الحافظة.
- حدوث أنيميا.
- عدم الاهتمام بشرب كمية المياه اللازمة لاحتياجات الجسم.
قد يهمك ايضًا : اسماء افضل حبوب الأذن
طرق العلاج من حبوب اللثة
- تقوية الجهاز المناعي والمسئول عن مقاومة البكتيريا المسببة لحبوب اللثة وذلك عن طريق أقراص الزنك.
- المضمضة بمغلي شاي البابونج عن طريق غلى كأس ماء ووضع كيس من شاي. البابونج عليه وتركه يبرد ثم نقوم بالمضمضة وتتم المضمضة يوم بعد يوم.
- المضمضة بمحلول الملح صباحاً وَمَسَاءَا.
قد يهمك ايضًا : اسماء أفضل معجون أسنان التسوس والجير ويحميك من التهاب اللثة
أعشاب ووصفات لعلاج حبوب اللثة
- يمكن دهان اللثة بالعسل الأبيض ومن المعروف أن العسل له فوائد عديدة في القضاء على العدوى البكتيرية.
- يحتوي التوت البري على مادة البوليفينول والتي تحد من تكاثر البكتيريا لذا ينصح بشربه كعصير.
- المضمضة بعصير الليمون فالليمون من الأطعمة المطهرة.
- تحضير مزيج من الملح والليمون ودهانه على الحبوب ويترك خمس دقائق ثم نقوم بالمضمضة بماء فاتر.
- نقوم بدهان زيت جوز الهند على اللثة وزيت جوز الهند يعمل على مقاومة الميكروبات المسببة لقرح الفم.
- تناول مكملات فيتامين ب12 وهو يعمل على الحد من الأعراض المصاحبة لقرح الفم.
- تناول كوب واحد من الزبادي البلدي كل يوم فالبكتيريا النافعة التي تحتوي عليها علبة الزبادي تساعد في التخلص من بكتيريا الأمعاء والتي قد تكون سبب رئيسي في ظهور تقرحات بالفم.
- المضمضة بمحلول صودا الخبز ويعمل ذلك المحلول موازنة الحموضة والحد من الالتهابات التي قد تصيب الفم.
- التركيز على الخضار والفاكهة من ضمن النظام الغذائي المتبع حيث تحتوي على الفيتامينات والكالسيوم اللازمة لصحة الأسنان.
- يجب زيارة طبيب الأسنان كل ثلاث شهور حتى وإن لم نعاني من الألم وذلك لتنظيف الأسنان واللثة ولفحص الأسنان بصفة مستمرة.
- استعمال جل الألوفيرا عند وجود تقرحات فالألوفيرا لها العديد من الفوائد في علاج الأسنان ومنها تقليل مدة العدوى.
قد يهمك ايضًا : سبب انتفاخ اللثة في الفك العلوي بدون ألم والعلاج
وبهذا نكون قد وصلنا لنهاية المقال ونتمنى أن نكون قد قدمنا الإفادة الكاملة فيما يخص مشكلة حبوب اللثة وكيفية علاجها.