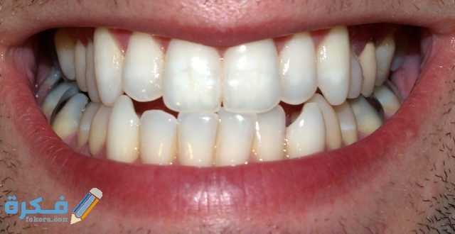
تفسير حلم رؤية الاسنان لابن سيرين

ما هو تفسير حلم رؤية الاسنان في المنام من خلال كبار عُلماء التفسير لابن سيرين او لابن كثير او للنابلسي او لابن شاهين او للامام الصادق من خلال موقع فكرة Fekera.com ، دلالات رؤية اسناني في الحلم للعزباء او للمتزوجة او للحامل ، الاسنان الواقع من الأشياء المهمة في الحياة فهي تعطي مظهرًا جميل وتستخدم لمضغ الطعام ، ورؤية الاسنان في الحلم لها دلالات كثيرة ومنها مثلًا الاسنان البيضاء دليل علي الحب والترابط والصلة القوية وتختلف الرؤية حسب كل حالة.
ما تفسير حلم رؤية الاسنان البيضاء في الحلم :
- يقول العالم الكبير ابن سيرين ان الاسنان في الحلم عمومًا تشير الى الأقارب فإذا كانت بيضاء ولامعة وشكلها جميل، ففي ذلك إشارة الى ان هذه العائلة مترابطة محبة لبعضها، تجمعهم صلة قوية ببعضهما.
- ايضًا تُفسر الأسنان الجميلة بأنها سعادة قادمة للرائي وانتهاء مشاكله، وان كانت الاسنان بيضاء ورأى الحالم سقوطها، فذلك يعني انحيازه وتأييده الدائم لشخص معين.
إقرأ ايضًا : تفسير حلم مائدة الطعام
ما تفسير حلم رؤية الاسنان الامامية لابن سيرين :
- تفسير حلم سقوط الاسنان الامامية العلوية في الحلم هم الاقارب الرجال.
- تفسير رؤية الاسنان العلوية في الحلم فالسنتان العلويتان في المقدمة يشيرا الى الاب والعم، او الاخوان او الابناء.
- رؤية الاسنان السفلية في الحلم تشير الاسنان السفلية فهم الاقارب النساء، السنتان السفليتان في المقدمة يشير الى الام والعمة، او الأختان والبنتان، وعند المفسرين فإن تأويل سقوط الأسنان السفلية افضل من سقوط الاسنان العلوية.
- تفسير رؤية سقوط الأسنان العلوية يعني فقدان شخص مقرب، او مرض او موت، اما سقوط الأسنان السفلية فتشير الى تخلصك من شخص سئ يؤذيك، او تخلصك من مشكلة كبيرة، وبشارة بخير قادم للرائي ان شاء الله.

ما تفسير حلم سقوط الاسنان في اليد :
إذا رأى شخصًا في منامه سقوط أسنانه في يده، فذلك يشير الى مال كثير في الطريق اليه، او انه سيخسر خسارة غير متوقعة، ولكنه سيقف على قدمه ثانية، ويستطيع تعويض خسارته.
إقرأ ايضًا : تفسير حلم رؤية تنظيف الاسنان
تفسير رؤية حلم سقوط الاسنان للعزباء تفسير ابن سيرين :
- إذا رأت الفتاة العزباء في منامها ان اسنانه تسقط، فذلك يعني انها تشعر بالاحباط، بسبب صدمتها في شخص معين، او قد يشير الحلم الى أنها ترغب في الارتباط لاحتياجها الى شخص يكون بجانبها، يبادلها الشعور بالحب والحنان اللذان تفتقده في حياتها، وان كان السقوط اسنانها الامامية العلوية، يعني انها ستفقد او ستقطع علاقتها مع شخص مقرب منها.
- اما سقوط الاسنان السفلية، فهو بشرى طيبة بخير قادم قريبًا لها، واذا كانت مخطوبة وسقط لها في المنام سن سفلي، فمعناه انها ستنفصل عن خطيبها، ويكون في ذلك خير ومستقبل أفضل لها بإذن الله.
إقرأ ايضًا : حلمت اني خلعت ضرسي
تفسير حلم سقوط الاسنان بدون دم لابن سيرين :
إذا رأى شخص في منامه سقوط أسنانه بدون دم، فذلك يشير الى طول عمر الرائي، او أنه يسدد جميع ديونه، وإذا رأى أن هذه الأسنان التي سقطت مسوسة، فذلك يعني ان ماله به شبهة حرام، ويجب عليه أن يراجع نفسه، ويسعى لتطهير امواله ليتخلص من هذا الحرام.
تفسير حلم تخلخل الاسنان :
تشير رؤيا تخلخل الاسنان في المنام الى عدم ثبات حالة الرائي سواء المادية او النفسية او الاجتماعية، فهي دليل على ان الرائي يحتاج الى محاولة ترتيب اموره واوضاعه جيدًا ، لينعم بحياة مستقرة وهادئة.
إقرأ ايضًا : تفسير حلم رؤية تنظيف الاسنان
تفسير رؤية ظهور الأسنان في المنام :
اذا رأى شخص في منامه انه يظهر له اسنان جديدة، فذلك يعني شخص جديد سيأتي للعائلة، قد يكون ابن او حفيد او اخ، والله اعلم.
يمكنك كتابة حلمك من خلال التعليقات، وسيقوم الفريق المختص بتفسير حلمك والرد عليك في اسرع وقت.




رأيت بالمنام سن عقل بداخله سن صغير وحالة السن نظيف وابيض ناصع
رأيت في المنام اني احتفظ بالاسنان مع اني لا اعلم من صاحبها
رأيت في منام أسناني سفلية منتفخة و تألمني كثيرا بعدها قمت بنزها و فجأة رأيت أسناني كامل مع ضروس تضاعفت مع علم اسناني كانت بيضاء .
حلمت انى أرى اسنان تقع فى يدى وناصعه البياض واضعهم فى جيبى ولماانظر للمرأة الاقى اسنانى موجودة
الفرح بنزول وسخة صغيرة سوداء من الأسنان
حلمت اني ذهبت لطبيب اسنان و قلع اسناني ثم اعادهن بدون خروج دم كأنما اسنان تركيب مع العلم اسناني غير تركيب والاسنان بيضاء
رايت ابنتي قد اقتلع جزء من اسنانها السفلية لتركيب جسر
بنتي مطلقة ومسافرة خارج البلد للعمل
السلام عليكم حلمت بان اختي بدون أسنان السفلية
السلام عليكم ورحمة الله وبركاته. بسم الله خيرا ان شاء الله. انا حلمت انا مجموعة الاسنان الامامية الجديدة والجيدة ما عدا الاضراس. قد نبتت تحت اسناني الأصلية. وكانت الأصلية كأنها طقم أسنان وعلى وشك انا يسقط . فكنت اسأل احد اقاربي أيهما احلى حتى ابقيه. وشكرا لكم
حلمت ان امي مركبه طقم اسنان ويهبل ماشاءالله
وامي مره فرحانة فيهم وتقول الطبيب يقول خليها ٥ ايام وشيليها
السلام عليكم
ريت في المنام زوجتي اسنانها الامامية السفلية كنه مخلوعات وشكله مقرف
حلمت ان ضرسي الذي في الاخير على اليمين في الأسفل مسكته لاني أحسست بالقلق فاقتلع في يدي و بقيت كالحفرة فقلقت لهذا الأمر كثيرا
مرحبا حلمت انو واحد من دراسي الفك العلوي طلعتو شقف مكسر وابيض مش مسوس لما حطيت اصبعي بتمي لشوف ايا واحد الي نكسر وكانو سناني مافيهن شي ولا كانو كان في واحد مكسور بتمنا تردو ❤️?
سلام عليكم حلمت ان اسناني الامامية خربانة اي ان حجمها صغير و لونها مصفر و سن من القواطع اصبح رقيق جدا مثل الورقة و اعوج و انا في حلم منزعجة و مرعوبة كيف اصبحو اسناني هكذا فجأة و افكر كيف اذهب للطبيب لتركيب اسنان جديدة فوقها
حلمت بان لدي سن علوي كبير وابيض واختي أيضا أسنانها العلوية عريضه وبيضاء اني واحد وهي اثنين من يعرف تفسير حلمي يرد عليا وشكرا
السلام عليكم،
رأيت في المنام انني اضحك ا وانيابي العلوية و السفلية غير موجودة و كنت سعيدة بذلك هل هذا خير ام لا .شكرا .
حلمت اني بشتري لحمه من الجزار ومتقطعه ومعاه كبده وكلوي
وكمان حلمت لشخص آخر أن السنتين الإمامين العلويين مش موجودين
بسم الله
حلمت ان اسناني الاثنين العلوين مقدمة الفم سقطت ورايتها في الحلم ان بنتي وضعها في فمها وانا نظرت إلى اسناني في فمها رأيتها ثلاثة أسنان مع العلم سقوط كانا اثنان
أنا امرأة متزوجة وعندي ابن خارج الوطن وهو مريض
وعندي بنت
عمري 47
وابني28
وبنتي 27
حلمت ان سنتي الماميه السفليه الي على اليمين انها تهتز
رأيت في المنام اني عند طبيب الاسنان جلست على الكرسي وكانت معي مساعدته فقالت لي ان الطبيب سيدخل الأن فنضرت الى اسناني فوجدتها متسخة قلت لهاا يا إلهي لقد نسيت ان افرش اسناني استحي ان افتح فمي للطبيب فقالت لي لا تستحي لا مشكلة في ذلك فدخل الطبيب جلس امامي وامسك منديل به دواء ومسح على اسناني الامامية واتقط صورة لها واراني اياها فكاااانت جد بيضاء وجميلة جدااا وكنت سعيدة وانتضر بفارغ الصبر ان ينتهي الطبيب حتى اذهب وأرى اسناني في المرآة
انا عازبة ومقبلة على امتحانات وابحت عن عمل وأمر بمجموعة من الضغوطات (في الواقع كان هناك خلاف بيني وبين اهتي وعندما اردت النوم قلت يا الله اريد ان اعرف هل انا من ضلم ام هي يا الله من المخطئ بيننا وفي تلك الليلة بالضبط رأيت هذا المنام
حلمت ان اسناني السفليه لديها فراغات بينها ما معنى ذلك؟
نزول دم فاسد من أسنان اختى المتوفيه دم قليل
رأيت في منامي الجانب الايمن العلوي من اسناني سقط بسبب حادث و كانهم ثلاثة أسنان ثم رأيت مجموعة من أفراد العائلة عددهم ثلاثة مجتمعون في بيت الجدة ثم رأيت ابي المتوفى ياخذني عند صديقه طبيب الاسنان في حيه القديم لاصلاح اسناني و تركيبهم لي من جديد ؟؟؟
ارجو الرد على تفسير حلمي و شكرا
حلمت بأن اسناني الاماية العلوية تسقط لكن بفعل شخص
حلمت ان الناب العلوي ل حفيدي الرضيع منشق الى قسمين واسنانا الاخرى تهتز(الاسنان العلوية
راية في منامي اختفاء عدة اسنان وا وجود بقع الدم في اللثة
راية في منامي اختفاء عدة ضرواس وا وجود بقع دم في اللثة
حلمت ان اسناني الامامية العليا كان بها ضرر بعد التقويم و انجرحت السنة الامامية العليا الطويلة اليسرى و خرج منها
دم و كذلك بالنسبة لسنة اسنة اخي الكبير
حلمت انه احد الاطفال في العايله كنت جالسه معها وطاحت اسنانها اللي فوق في يدي تقريبا الخمس اسنان اللي فوق بس ما شفت دم الا قليييل مره على واحد من الاسنان
فتاة مخطوبة رأيت في حلمي اسناني الامامية العلوية تسقط وهي بيضاء وكنت احملها بيدي وأووريها لأمي وان اسنانا جديدة تظهر وراء اساني السفلية هل من تفسير لحلمي
حلمت بأن سني الامامي سقط من غير الم او دم ومسكته بيدي وكان به تسوس بسيط من الداخل
لو سمحت انا حلمت أن انيابي وقعت الاول العلويه وبعدين حطيت ايدي علي انيابي السفليه طلعت في أيدي بدون وجود دم
حلمت ان اسناني الفوق الامامية كلها مخربطة ما في اي سن في مكانه واحتاج الى تقويم
رأيت في المنام كل من رآني اعجب ببياض اسناني .. ولكن عندما نظرت للمرأة وجدت انه احد الاسنان الاماميه يوجد بيها نقرة بيضاء مما جعل منظر السن غير جميل اي ذات منظر شاد عن البقيه
السلام عليكم ، انا رايت في المنام داكل واذ اكلت شي قوي فتطشر نصف فكي الاسفل من الجهة اليسرى، وقعت اسناني بدي ولونه الطبيعي لا ابيض تروي, ولا متسوسه وقم من الاسنان دخلت في طريق الهواء وخنقتني وارجتها ….
والسلام
السلام عليكم ، انا رايت في المنام داكل واذ اكت شي قوي فتطشر نصف فكي الاسفل الجهة اليسرى وقعت اسناني بدي ولونه الطبيعي لا ابيض تروي ولا متسوسه وقم من الاسنان دخلت في طريق الهواء وخنقتني وارجتها ….
والسلام
حلمت بان اضراسي اربعه طاحت متصله معى بعضاها وكانت شديده البياض وبدون الم وقلت ساذهب الى المستشفى وبيعيدونها لمكانها
يومين او انا كنحلم بجوج دروس فمي بغاو ايتحيدو وحدا تحيدات اوتانية مبغاتش تحيد مع رغم من انها بغات تحيت مبغاتش تحرك من بلاصتها طبيب كيبقا ايغول لية نخليك ترتاحي اونعاود نجرب اوالو
في منامي رائة ان ابي لديه أسنان بيضاء جملة ومبتسم
انا حلمت مرا انا اسناني الاماميه وحدا منها انكسرت نصها يعني
ومرا حلمت ان اسناني الاماميه صغرت
الحلم في نفس الاسبوع
انا بنت عمري 16 سنة حلمت انو اسناني تسقط كان مظهرها جميل و مسكتها بيدي كانت تسقط و يسيل من مكانها دم خفيف
السلام عليكم .. رأيت اسناني تسقط جميعها من جهة اليسار فقط في يدي و كان عددها ٣٢ سناً وكنت خائفة وابكي من غير دموع او صوت عالي.. عزباء.. ارجو تفسير الحلم ولكم جزيل الشكر
رأيت امي لديها طبقات من الاسنان الاماميه، بما يعني انه عندما امالت رأسها للخلف، استطعت ان ارى مجموعه من الاسنان الزائده قد نَمَت خلف الاسنان الاماميه
واذكر انني في المنام ذُهلت من ما اصابها ومن مظهر اسنانها
للملاحظه، امي مطلقه
رايت اسنان ابنتي المخطوبة العلوية الاماميةفيها سواد ثم وقعت وضهرت مباشرةا في مكانها اسنان جديدة جميلة ناصعة البياض. التفسير من فضلكم
السلام عليكم ورحمة الله وبركاته أفيدونا جزاكم الله خيرا.
رأيت أن إبنتي الكبرى عمرها أربع سنوات وإسمها حفصة،ينادي أبيها في المنام يقول لي تعال أنظري فإن إبنتك سنها العلوي الأمامي سيسقط،فإذا بي أذهب عندها وانا خائفة عليها ثم وجدت أن سنها يتحرك فقمت بأقتلاعه من مكانه.مع أني وجدت تحته سنا جديدا ينموا وابيض من السن الأول،وزال خوفي فقلت لأبيها خير فعلت يعني عند إقتلاعي لسنها الاول.
حلمت اني كنت في منزل جديد انا و اختي و معنا امي ، و كلما خرجت و عاودت الدخول الي المنزل اجد امي تتسلل الى القبو في حجرة مبنية بالطوب و عندما فاجأتها سألتها ماذا تفعلين: قالت “هنا يوجد موت”، و فمها يبدو كأنها كانت تأكل التراب، قالت لي هذا وهي تريني أسنانها كلها و هي شديدة البياض ، قلت لها أريني فمك فإذا بالطقم ينقلع و تبدو أسنانها الأصلية في حالة مزرية ، قلت لها يجب أن تنظيفي أسنانك الأصلية أيضا ، و عندما خرجت وجدت في الحجرة تابوتا من البلاستيك يشبه سرير دمية متوسطة الحجم .
أسناني الأمامي العلوية تتحرك كثيرآ والناب العلوي الأيمن سقط لاكني لا أذكر أين سقط بلضبط
السلام عليكم
الله يرضى عليك انا حلمت في ولد بنتي اسنانه الاماميه للي هي الثنايا الاثنين ماسكتها بيدي وادفنها وكنت مررره حزنانه عليه وقمت على كذا ايش هو تفسير الحلم علماً بأنو الولد عمره سنتين وما سبق وسقطت اسنانه
حلمت كنت مع ابي واذا به أحسست بالسن الامامية تخلخل .بعدها سقطت لونها ابيض لا يوجد فيها تسوس .وقليل جدا الدم .ولا يوجد هناك الم
حلمت سقطت سن واحدة في الاسفل وفي نفس الحلم كدالك حلمت سقوت ٣ اضراس في الجهة اليسرى
حلمت سقطت سن واحدة في الاسفل وفي نفس الحلم كدالك حلمت سقوت ٣ اضراس
السلام عليكم
حلمت بانى انا خلعت السنه الاماميه بدون الم وكانت سليمه بيضاء ولم يكن بها تسوس
انا متزوجه و ولد صارلي 20 يوم وحلمت انو اسناني الاماميه السفليه متخلخله وعم يضهر تحتها اسنان شنو التفسير بلا زحمه
حلمت انو ظهر لي طاحونه جديده داخل فمي مع العلم اني متزوجه وعندي ٥ اطفال وزوجي مسجون
سقوط ٧ اسنان بدون دم في اليد اليسرى
حلمت بأني رأيت اسنان الاماميه العلويه لصديقتي العزباء تسقط امامي
حلمت انو تم اهدائي سنين من امرأتين واخذت واحد واعطيت واحد
السلام عليكم انا امراة متزوجة بالعقد الشرعي ولم يدخل بي يعني بكر حلمت انا اسناني العلوية الاثنين الذين في المقدمة اعتوجا فاندهشت لانني اعلم انا اسناني جميلة مع العلم انا اضع مقوم الاسنان. وايضا احسست بهتزازها ذهبت إلى امراة لا اعلم من هي فنزعت لي الاسنان العلوية من الناب إلى الناب ولم يسقط اي دم وطلعت لي اسنان جد جميلة وفرحت كثيرا في المنام الله اعلم تفسيره احتاج مساعدتكم من فضلكم
حلمت ان اسناني كلها بتقع وفمي لم يفض من الاسنان وكنت اتقيئ
السلام عليكم. انا رائيت اسناني بيضا ولا معه وكنت انظر للمراه واستمتع بجمال اسناني . هذا فقط لا غير
حلمت انو صف اسناني العلويه الاماميه انكسرت بشكل متقوس وصار شكلها بشع و يخوف و طاحت على يدي وكانت بيضه و فمي كان يخوف شكله بالحلم و الاسنان نفسها منكسره و تخوف و كذا لونها احمر على اسود زي اسنان الزومبي بالضبط… افيدوني
و مره حلمت انو اسناني كلها كانت نفس الواقع نظيفه و بيضه و بالحلم سنتي الناب العلويه انخلعت و طلع بدالها سن نظيف و ابيض… افيدوني
تفسير عدم وجود اسنان زوجي التركيب السفلية
حلمت أن اسناني الامامية بيضاء ولاكن فيها سوس ثم أستبدلتها بأسنان صفراء
حلمت ان ابني حديث الولادة 15 يوما له اسنان كاملة بيضاء ومرتبة لكن احدى الاسنان الامامية (الثنايا) كانت مائلة
حلمت اسناني الاماميه طلعت جديده
وكنت سعيده بها كانت بيضاء لامعه
انا متزوجه وحامل في شهر السابع
انا متزوجة. حلمت ان السن الامامية في المقدمة يتخلخل و لم يقع
انا امراءه متزوجه وعند ٣بنات وولد وعايشه عندي امي
حلمت اني امشي في بيت والدي وانا مرتاحه نفسيا وفرحانه ووقفت عند المرايه وكان اسناني البيضاء واشوف كانه المطاحن تصعد وتحتها مطاحن لونها اصفر لم يعجبني لونها
وكاني في الحلم جدي الله يرحمه موجود وكاني جيت الى البلاد التي فيها بيت واللدي اسبوعين وفي نهايه الاسبوع الثاني اقول في نفسي لازم انظف بيت والدي من كل جهه السطح والحوش كانه كله متسخ لان امي سوف تزعل مني كيف جلست اسبوعين ولم اهتم ببيت اهلي وكان جدي ما يهمه امر نظافه بيت والدي وجزاكم كل خير
رأيت ظهور اسنان ف لساني
السلام عليكم حلمت ان طغلي عمره سنه تضهر له انياب يعني فقط شاق اللحم وضهر ماهو تفسير الحلم
حلمت أن سنتين من الفك الاسفل وقعوا والثالث علي وشك الوقوع انا بنت مش متزوجه ولا مخطوبه
خالتي كان تحول تخلع السن النائب و عقب قلتها لا مش ها السن ثم ارجعتها في مكانها
أنا الآن 5اسناني العلويين طايحين فرأيت في المنام او الحلم انهم تم تركيبهم وفي غاية الجمال،،،،،،،،
حلمت أني أنظف أسناني ونظرت في المرآة. رأيت السنتان الأماميتان لونهما أبيض مثل الثلج
متزوجة وحامل ولدي ولدان
مع العلم عمري 21 سنة ومتزوجة
حلمت بان الصف العلوي من اسناني تقع على الارض واقوم باعادة تركيبها اسنان بيضاء جميلة
حلمت بأن انا اتخبط وعندي سبع اسنان سفليين وقعوا
حلمت ان ابن اختي ٩ شهور لديه سنتين سفليتين مع العلم انه ليس لديه اسنان وانا تزوجت حديثا
حلمت ان احد اسناني الأمامية انكسر نصفه .
وانا امرأة متزوجة ولدي ثلاث ابناء
السلام عليكم حلمت اني بلمطبخ اجهز السفرة عائليه بس كانو مو اهلي كانو اهل ابوي عماتي يعني وبلمطبخ طاح السن الامامي الايمن بس طاح نضيف وابيض بشكله كله لاكسر ولا بيه شي واللثه نضيفه حطيت السن بيدي وضميته وبعدين طلعت بليل ويه اهل ابوي وبلطريق تلمست بلساني اسناني اليمنه وجان يطيحون كلهم ماعده الرحي وهمين نضاف وحلوين وللثه مابيه شي نضيفه بس اني شفتهن بيدي اخترعت وكتلهم يودوني للطبيب همين على ماوصلت للطبيب طاحن اسناني اليسرى وبقت بس الرحي جمعتهن كلهن بيدي وصلت للدكتورة وكلتلها ع حالتي عمود اسناني وهيه تضحك تكلي مابيهن شي كلشي يرجع لمكانه هسه اسويهن الج حلوات واعالجج شغلتج بسيطه بهل اثناء بلساني التمست اسناني سفليه الاماميه لكيت واحد منهن يتحرك وبعدين نمت ع سديه ورادت اتعالج وكعدت من حلمي ممكن تفسروه الي اني مراءة مطلقه عزباء
تحلمت انه اسناني العلوية والسفلية تطيح ف ايدي ؟
حلم ان عند بنتي اسنان غريبه طويله ودائرية والسنه الاماميه بها خيط من الوسط ومرتبطه به عدت ايمان بنفس الشكل والدكتوره قالت ماقدر اساعد ابنتك لان ربي ابتلاه بهذا وهي تخبي اسنانها الى الحلق وعندما اختنقت سحبت الخيط اللي بيه الاسنان عشان انقذها من الاختناق مع العلم انها طفلهبالمدرسه مامعنى هذا الحلم لاني صحيت وانا مفجوعه عليها
السلام عليكم رأيت في المنام أن سن ابنتي وعمرها 3 سنوات يقق في يدي من دون دم
ما معنى هذا المنام لو سمحتم
رأيتو في منامي بأنني كنت أدرس اول سنة في الطب و هو حلمي في الحقيقة و هو امر مستحيل.. ففي المنام رأيت بأن ثلاث من اسناني العلوية الجانبية يتفتتون في يدي و حين كنت اقوم بلمس اسناني كانو هناك…. دائما ما ارى بين الفترة و الفترة بأن اسناني تقع فأحياننا تنكسر و احيانا اقوم بخلعها بيدي و احياننا تتفتت و مرة رأيت بأن اللحم الموجود تحت السن ايضا يقع.. ارجو منكم تفسير حلمي من فضلكم..و شكرا على تعبكم
رأيت في حلمي أن نابي الأيمن السفلي انكسرت منه الحشوة الطبية وتدفق منه ماء شديد الزرقة ولم أشعر بأي ألم واني كدت ابتلع الجزء المكسور حتى استطعت إخراجه
رأيت ظهور ٢ اسنان خلف اسناني السفلى واحد شفاف والثاني ابيض وكانو بعبدين عن بعضهم
السلام عليكم
رأيت أني أنزع أسناني وأنيابي بكل سهولة بيدي وبدون أي ألم وحينها كنت أرى نفسي في المرآة ورأيت نفسي قبيح المظهر والضحكة نفسها وفمي بشع جدا عندما أضحك
مع العلم أنا شخص عازب وأدرس ….و لدي دين لاكن سأسدد نصفه قريبا وصاحبه قال لي خذ راحتك في تسديده
والحمد الله والسلام عليكم
انا رجل متزوج وعندي ولد وبنت وحلمت ابني ينظف سنوني ممكن تفسير
رأيت ان ضرس اسناني السفليه ابيض و يتخلخل ولكنه لم يسقط
انا ارمله ولدى ولدين
حلمت ان انيابي العلويه لسه بيطلعو جديد ومنهم ناب لسه بيشق مكانه وظاهر جزء صغير جدا منه لكن الناب الاخر كان ظاهر بوضوح ارجو الرد
تفسير حلم خروج اسنان من فتحه شرج الرضيع للمراه المتزوجه
حلمت انني آكل طعاما من صنع ام زوجتي السابقة مع العلم أننا في طور الطلاق
حلمت انني ارى اسناني الأمامية كلها صفراء جدا و شكلها بشع و سني الامامي فيه اعوجاج الى جهة اليسار.شكرا
وكمان بنفس الحلم انو حدا اعطاني مصاري بس كان كأنه هاد الشخص ميت مابعرف كيف كانو كتتير كتار وكانو لازم اوديهم لحدا او موعارفة بالزبط بس كتتير كنت خايفة ومتوترة بدي اخلص منهم مابعرف لي كنت احكي بلاش هدول يكونو مصاري حرام لانو انا ماسكتهم حلم معوق عارفة
رأيت أنه نمت لي العديد من الأسنان العلوية ليست في أماكن نمو الأسنان و كانت تألمني و تتخلخل
رأيت في المنام ان أسنان زوجي بيضاء جدا وجميلة جدا ،
ورايت نفسي اضع الكحل بعيني ، بقلم الكحل وامامي مكحلة
السلام عليكم :
حلمت سقوط سن من جهة اليمين و سن من جهة اليسار و لقد وقعت في يدي و انا انضر اليها و هي بيضاء من الاسنان السفلية الوسطى
حلمت ان اسناني الامامية و السفلية كلها سقطت و كنت ابكي بشدة لسقوطها، ماعدا الضروس لمستها و كانت سليمة، كما لاحضت خروج ضرس من الجهة الامامية السفلية
انا رأيت انا ضرسة مكان الناب في الفك العلوي أنها بيضاء وجميلة ولكن اخفت
حلمت اني كنت انقص من طول اسنان ابي
حلمت ان انا وعمي وعمتي وكان معنا اولادي ذاهبون الي بيت ذوجي لكنه بيت غير بيته وفى انتظاره بالشارع حتى يذهب معنا للاتفاق على الزوج وعند وصولنا رايت اختة الاصغر والاكبر وكان صوتي مببحوح وسألتهم علية وقالو لي نائم وطلعت دون از يأخذوا بالهم لايقاظه وكان بيت غريب وبه اشخاص لااعرفهم وغير منظم وعندما ندهت علية صحى وكان متضايقك ورايت اسنانة العلوية والسفلية غير موجودة ونزلت لاعمتي ووقعت على وجهها ثم قامت ونزلت من مكان اخر وكهت معها ومعنا اولادي فى عربة لنذهب الي عمي وزوجي عند بيتة وبعد ذلك مشينا سوا فى الشارع
مع العلم عمي وعمتي مريضين والتواصل بيننا كل عددة اشهر
اسفة على الاطالة
حلمت بأن سني الاخير من الأسفل قدتحرك وانه سوف يسقط واني احاول ان الجلسه بيدي وهذا السن الاخير في الحقيقه منخور وقد كسر نصفه في الواقع وان زوجتي تحاول أن تراه وتقول لي انه سوف يسقط وبعدها استفيق لأرى انه مازال على وضعه ارجو تفسير حلمي ولكم الشكر
حلمت اني انجبت بنت لوحدي دون مساعدة واندهشوانا برضعها انها مكتملة الاسنان وبفتح فمها لقيت اسنانها جميلة جدا وبيضاء وانا كنت متضايقة لاني ما كنتش عاوزة اولاد لان عندي ٣ اولاد وسني ٤٣ وصحتي ما تستحملش حمل تاني وكمان بتشتغل ومتغربة بس البنت كانت غريبة جدا
السلام عليكم ورحمه الله وبركاته
انا متزوجه ومخلفه ولدين
حلمت أن السنتين من فوق وحده وقعت ف ايدي والتأمين مش ثابته وشدتها طلعت بس بضل منها بواقي وقلت لزوجي لازم تركب غيرهم اركب سنان ساته ازرعها وكنت مصممه وكنت ببكي بشده والحلم دا بيتكرر كتير معايه ديما وبكاء بشده مع اختلاف الاسنان احيانا ف حلم يكون درس وقع ف ايدي وحلم اخر سناني كلها الي من الامام فوق وتحت تقع ف ايدي وشكرا جدا
حلمت بان سني الي تحت جم الضواحك علي اليسار طاح بدون دم ارجو التفسير
رايت اسناني علويه سن فقط ساقط واسناني سفلى متفرقه وجزء منها مختفي ومتكسر كلها لماذا اول مره احلم هكذا?
حلمت ان الضواحك مستبدلة باسنان فضية و مركبة ببراغي كبيرة
في حلمي رأيت ان سني الاماميين السفليين سقطا ومباشرة عند سقوطهما نبتا سنين جديدين بيضاوين ارجو تفسير الحلم
أنا و خطيبي تركنا من ثلاث أيام عملاة أستخارة على نية شوف خطيبي إذا من نصيبي أو لأ فا شفة بي منامي قعدة على رصيف ولدنيا عتمي كتير وأنا لبسي جباب أسود حلو كتير فبيجي شب بيمسكلي أيدي وبيقومني عن لرصيف وبروح معو بس حسات هيدي إيد خطيبي لي نمدة بس محتارة
سلام عليكم انا وخطيبي ختلفنا بي أمر وتركنا أسا مطبقنا لشهر منفصلين وليو صهري شافني انا و خطيبي بي منامو يرات تفسري هلا منامJiti la 3endi enti w5atibek enti knti lebsi jlbeb wchadar wlebsk ken bijanen Al kenti ktir 7lwi w hewi ken mtawal cha3ro wcha3ro mja3lak bi2arf wken 3am yda5en wsneno keno mehtriyin
حلمت ان سني الاماميه السفليه سقطت في يدي وبكيت على سقوطها بكاء شديد
رايت اسناني سقطت بدون دم و مسكتها ما عدا ناب واحد سقط و ما لحقت امسكه
رايت ان اسناني سقطت بدون دم و مسكتها ماعدا ناب واحد سقط و ما لحقت امسكه ارجو تفسير
أمي رأتني في حلمها أن أسناني جميلة و بيضاء
انا رأيت انا ضرسة مكان الناب في الفك العلوي أنها بيضاء وجميلة ولكن اخفت
رايت ان ابني قد ضهر له سنان اماميان علويان جدد وابيض يياضهن ناصع
حلمت كئن احد اسناني السفليه تسقط
حلمت بأني تزوجت ولابسه الفستان الابيض لكن سقطت بيدي ٣اسنان مسوسه ولكن كنت اقول في نفسي مو مشكله بركب اسنان بدل اللي سقطو
حلمت ان اسناني سقطت جميعا واني وضعتها بكوب وتحولت الا احجار صغيره وتلمع وكانها الماس وبعد ذلك خرجت لي اسنان جديده ولكن ليست كامله
انا عزباء وتحلمت ان تلبيسة سني طاحت وطاحت حشوات اسناني كلها بيدي وكنت ابكي مره لان شكلي مو حلو وان اهلي مارح يسونها لي
رايت في المنام صديقي المقرب بدون اسنان العلوية (ناب و سن)
حلمت ان بنتي الرضيعه طلعلها أسنان كامله بس حد قريبي خرملها أسنانها الاماميه واللي جوه بقرن غزال وانا اخدت قرن غزال وعملت فيه زي معمل لابنتي وكمان خرمت راسه بس مفيش دم
حلمت ان اسناني توكع ومن شفتها بالمرايه لكيت نص اسناني واكعه مثل الطفل والباقي اسنان قليله وشفت اسناني السفليه توكع ويوكع منها قطع من اللثه اجى زوجي شافني وضل يعاتبني ليش مااخذ علاج لاسناني حتى يخف وجعهن
حلمت انّ النّاب الأيسر كان يهتز وعلى وشك السّقوط، ثُم قُمت بخلعة فانخلع ولمَ يخرج دم وفجئة وانا اتحسّس مكانة أذ بة خاب جديد وثابت فِي مكانة .
رايت ان سلفتي (زوجة اخو زوجي) تضحك لي واسنانها متفرقة قلت لها لم تكن كذالك من قبل قالتلي خلعت ضرس وتفرقت اسناني لعلوية
حلمت بان الناب الاعلى من جهه اليسار سقط فى يدى وبدء يخرج دماء كثير وانا اغسلها حتى جفت
حلمت انه احد اسناني السفليه تم اصلاحها ولونها ابيض لامع واسناني متراصه واقول لست بحاجه الى التقويم بعد اليوم
للعلم مركبه تقويم لان الاسنان السفليه غير متراصه
ما هو تفسير حلمي
حلمت لان بأن احد اسناني الاماميه وكانه الناب ينكسر طولبا وبعدها يسقط كله وبعدها اغتحىغمي لأرى فمي خالي من الأسنان تماما ولكن سقوطهن من غير ألم او دم
مرحبا حلمت انني اجهز نفسي لعرسي مع العلم انا عزباء ثم فجاة بدا اسناني العلوية تتباعد عن بعضها واسناني السفلية تتداخل ثم اسرعت انا ووضعت تقويم عليها وعادت كما كانت ما تفسير الحلم من فضلك
السلام عليكم ورحمة اللة وبركاته
حلمت ان ابني ظهر له اسنان ثالثة في الفك العلوي علما ان ابني يبلغ من العمر سنة وامه ايضا رات نفس الحلم افيدونا وجزاكم الله خيرا…
حلمت بان اسناني العلوية سقطت ومسكتها بيدي
رائيت اسناني العلوية الامامية تكبر عند ما اشدها إلى الاسفل
ارجع الرد
السلام عليكم…. حلمت ان احد اسناني الاماميه السفلى كان غير ثابت ف قلعته بيدي واعطيته إلى الطبيب فقال هذا سن من زجاج وتكسر السن بيده… فقام بتركيب لي سن آخر مكانه… لكنني كنت احب ذلك السن القديم…. ف ماهو تفسير حلمي ارجو الرد
حلمت ان اسناني كلها بتتلخلخ ما التفسير
السلم عليكم رأت امي ان سني الامامي فوق طايح وتسالني سنك طاح و تشوف قطعت دم محله ؟
حلمت بأن أسناني السفلية تقدم وتأخر بعضها على بعض وكان سن من اساني السفلية قدم اكل نصفه التسوس وانا عزباء ولا اشكو من اي مرض
رأيت ان اسناني تخلخل الانياب السفلى والعلوية والضرس وكانها ستسقط كلها شعرت بتوتر شديد خوفا من فقدان كل اسناني
حلمت ان ابنتي الصغيرة عمرها ٦ سنوات وقعت اسنانها السفلية وتلقيتها في يدي افيدوني في التفسير جزاكم الله الخير
حلمت بأني طفل صغير ولدي سن متخلخل فقلت لي ابي ان يعينها لي فقال للاسف لا استطيع فطبيب العائلة مات (هو شخص قريب للعائلة ويعزه ابي) فصعدت الي السطح من هول الصدمة وانا التمس سني المتخلخلة فشعرت بشعور غريب فذهبت الي الحمام مسرعا وانا انزل من السلالم بدأت اكبر الي انّ وصلت الي عمري الحالي و عندما اقتربت من الحمام وجت ابي و امي وقيفان هناك ينضران الي مستغربان فسقطة اربعة ضروس في يدي و كانت متسخة قليلا وهنا تنتهي الحلمة
انا حلمت باسناني سفلية بصح طيح ونردها بالم وبيضاء ياريت تفسيرها مع علم اني عزباء وجانا مولود جديد
السلام عليكم
عمري 28 سنة مطلقة وأم لطفلة ، رأيت في منامي قبل آذان الفجر انني كنت في شجار مع سيدة من الأقارب فقمت بعضها وبعد ذالك سقط ضرسان من الجانب الأيسر من فمي في يدي و الأخرى بقيت تتخلخل في مكانها.
المرجو التفسير في اقرب وقت وشكرا.
ابويا حلم ان سنته اتفتفت وانا كونت ماشي جمبو وقالي سناني بتوجعني وبعضها اتفتفت في بوقو زي البرشمه ممكن تفسير
حلمت بوجود سنتان فى يدى ومع اختى باقى الصف للاسنان (ليست منى او منها )وادمجتهم على بعض وشعرت بوجود شىء او حاجه بالمكان وانقطع الكلام منى ولم استطيع التحدث واصيبت بالخرس المؤقت وكنت خائفاً جداً وقرأت اية الكرسى واستعدت بالله من الشيطان الرچيم وذكرت الله كثيراً وصحوت على انى فى كابوس فظيع وانا اقول لا إله الا الله بصوت صريخ عالى
السلام عليكم …رأيت فالمنام اني كنت مع نساء اعرف البعض منهم و بعض النساء لا اعرفهن و كنا جالسين على حافة طريق و فجاة تساقطت اضراس و بعدها تساقطت جميع اسناني ….الرجاء ما معناه …مع العلم انني متزوجه و دائما ما احلم بان اسناني تتساقط
السلام عليكم ورحمة الله وبركاتة
لقد حلمت بإني بجانب أبي وهو( متوفي)
كان يغسل أسنانه وقلت غسل الأسنان مرتين أو ثلاث في اليوم ولكن كان يغسلها للمرة الرابعة وقال لأن الطعام يسبب له حساسية
وهو مبتسم
وشكراً
حلمت سن من أسناني تهتز
السلام عليكم
حلمت وانشالله خير
ان سني العلوي اليميني عندنا فتحت فمي رأيته مسودا وكأن التلبيس قد نزعت عنه وعندما حاولت تنظيفه نزعت عنه عند اللثة من فوق قطعة دم متخثرة فعاد مظهره مقبولا. وقلت يجب أن اصلحه بسرعة.. اتمنى تفسيره لان لبنى بمشكلة
ولكم الشكر.
حلمت اسناني الأمامية من تحت تخللت وبعدها تفاجئت .. قررت اني اذهب الى طبيب وبعدها انتهى الحلم
حلمت أن أسناني الثنائية الأمامية تتحرك وتثبت ثم تتحرك وتثبت ما تفسير هذا ؟
حلمت ان اسناني كانت ناصعة البياض ومرتبه بشكل جميل وكنت فرحه برؤيتي لاسناني بهذا الشكل
ماتفسير ذلك جزاكم الله خيراً
عندى ابنه ٥ سنوات وحلمت ان ضروسها بالفك السفلى متباعده وغير متراصه فى أماكنها الصحيحه كما أن لها سنتين خلف السنتين الاماميتين فى الفك السفلى
حلمت انه تخلل سني الناب وخلعته بسهولة بدون دم وظهر تحته سن اخر وكنت فرحة جدا من الظهوره وانه قبله بأسبوع سقط مني سن من الفك السفلي ايضا بدون ألم ولادم وظهر ايضا سن جديد لكن لم يظهر بسرعة الناب
أنا شفت بنتي الصغيرة عمرها 7 شهور بيظهرلها أسنان حلوة كتير
السلام عليكم
حلمت بأن شيء كان على اسناني وسقط وأسناني كما هي ولله الحمد بيضاء سليمة .. انا مطلقة
للتصحيح⭕️
وماكانو منتبهين لي اني اون اصيح وفمي مسكر*
بدخل بحلمي مباشرً، تحلمت اسناني الاماميه طويله مره وثلاث اسنان الي هم الطواحن جوا فمي مخلوعين وكان جنبي دكتور وامي وماكانو منتبهين لين اني اون واصيح وفكي مسكر
انا عزباء وحلمت ان ضرسي في الجه اليمن ولونه ابيض ويتفتت وانا اشكي لمي وابكي وقول لها انو تعبت وانا اصلح اسناني
من رائ في مامه انا اسنانه الامامية تباعدت وضهرت اسنان جديدة في مكانه ولايوجد اسنان اخري غيرا التي تباعدت والتي ظهرت
السلام عليكم حلمت ان اسناني تخبط في بعضها مثل كأن احد يكون بردان و تصير اسنانو تتقرقب
السلام عليكم .
انا كان لي سن في الرحايه العلويه انه يتحلحل وعندما نمت حلمت ان مكان ااسن وقع ولكن ليس السن نفسه بل سقطت رحايتين العلوية والسفلية وكانت بيضاء ولكن العلوية من خهتها الخلقية كانت بها بعض اللحم من الفم انا اقصد كأنها لحمتٌ غطت نصف الجهة الخلفيه للسن وعندما الزم كليها واترك واحدة تبقه الثانيه متمسكة بمسافة ٤سنتيم تقريبا حتا عندما الزم واحدة الثانيه تبقط تطير وكأنها موبوطة بعصى “وايضا من ان امي كانت تضن ان هاذا السن لحم وكانت تريد رأيتهُ _ الدنيا” . . ” المنام .،: انا ذهبت فأريت امي الرحايه وبقيت اقلبها حتا ترا انها سن وليس احمه ….. اذا ماذا يقصد حلمي ارجو إن امي لن يأتيها ضرر منه
ارجو الأجابة بسرجة رجائا
؛ ومع السلام ختام.
حلمت انه سني العلوي اليسار يتحرك وانه على وشك السقوط ولكن كنت احاول عدم سقوطه ولم يسقط
رايت ان اسناني لونها اصفر تسقط فكنت خايفه بالبدايه لاحظت بعد سقوطها انه تحتها اسنان بيضاء جميله فذهب الخوف
حلمت اني وجدت سن محروق
انا شربت ماء مقرؤء عليه وبعد ربع ساعه استفرغتو بعد الفجر وكان الاستفراغ عادي ..وبعدها احلمت أنه روحت على مكان معروف وكان هناك كم معلمه بدهم ياخذو اسماء الناجحين توجهي إلى تربيه وانا روحت على حمام وكان الحمام وخارج الحمام ملابس لشخص اعرفه وملابس كثير اله ولااولاده وزوجته يرد أن يغسلها وانا اقول نفسي شكلو زوجته زعلانه جايب الغسيل هاذ كله هان وانا طولت في حمام وكان الحمام فاتحات على بعض لا يوجد حاجز غير الباب الخارجي وسكرتو بصعوبه من قد مافي ملابس وبعدين سحبت الحرام من مقعده الحمام لانه كان نصفه موجود في مقعده ولما نظرت حواليا لقيت داير االحمام من الوراء في اسفل الارضيه مليئه بالاسنان كأنه جايب جماجم وموقفهم جنب بعض وانا خفت منهن وما خفت في نفس الوقت وبعدين دخلو بنات صغار اثنتين ورشة عليا مي وحطيت الها اطلعي من الحمام وماردت وعصبت عليها وعضيت أيدها وضربتها على أيدها وحطيت الها يلا اطلعي …..
انا حلمت بنتي حاطة أرك أسنان منشان يظبتوا أسنانها بنتي عمرها 17
حلمت انا لي سن سفلي بس شعرت انه گأن بيطلعلي سن جديد وصار بتخلخل وبعدها اكلت وحسيت مكانه ما لقيت السن انخلع.. لكن السن مكان طاحونه الي مخلعه من الأصل عندي
انا عزباء عمري 15 و حلمت اني سقطت ع و عضيت اسناني و فتحت فمي الا بـ اسناني السفليه تطيح الي من قدام وش معناه؟.
حلمت ان اسناني السفلية تغير مكانها عن الواقع وظهر سن من ضمن الاسنان السفلية سن لحمي لونه وردي ارجو تفسير الحلم
حلمت ان اسناني السفلية تغير مكانها عن الواقع ومن ضمن الاسنان السفلية ظهر سن لحمي لونه وردي ارجو تفسير الحلم
انا عامله تقويم لسنانى وممكن اخلع درس عشان سنانى تتظبط اكتر بس مش هخلع ..حلمت ان واحده من سنانى ال قدام مخلوعه وفى اتنين جمبها بيطلعو لسه وانا سنانى فى الحقيقه كامله .وللعلم انا مخطوبه
حلمت انا النيب السفلي والسن الي جنبه كانت تخلل وطاحت بيدي وكنت في العياده اريد عملها ولكن ذهبت الي ابحث عن عياده اخرى لاعم
رأيت أسنان كثيرة سقطت في يدي و ضروس تنمو و بجانبها لاحضت بعض الأوساخ العالقة و قلت في نفسي لم اكن لانتبه لهذه الاوساخ لولا ان سقطت الاسنان عاي تنظيفها.
حلمت ان اسناني القواطع بهن تسوس ولكن في اسنان بدالهم يظهرو ،، و الانياب يتخلخلون لان اسنان بدالهم ظهرو
للعلم انا امر في فتره امتحانات و تعب نفسي ممكن يكون هذا الشي متعلق بالحلم! !!
لقد رأيت ان السن اليمني في منامي تؤلمني للغايه وعندما لمستها تقشرت طبقه المينا وأصبح لونها ابيض لكن الألم ازداد للغايه ثم ذهبت إلى الطبيب لعلاجي من الألم لكنه طلب المال لقد كان معي الكثير من المال لكني تركته بالحقيبه امام العياده في ممر طويل وعندما ذهبت لابحث عنها كان الممر يصبح أطول واطول حتى وجتها لكن هنا فتيان سرقوها مني وحاولت أخذها منهم وعندما اخذتها وجت بها القليل من النقود لا تكفى للعلاج وكان الألم شديد للغايه في الحلم كألم اقتلاع الضرس بالحقيقه تماما بدون مخدر ثم استيقظت وبعد الاستيقاظ ظلت تلك السن من الحلم تؤلمني لمده نصف ساعه تقريبا مع انني استيقظت بالفعل. وشكراً اتنمي الرد بسرعه لوسمحت.
أنا مركبة ضروس وحلمت انني خلعت الضرس العلوي من الجهة اليسار وصار بيا ألم ولما صحيت من النوم ظل هالألم وكنت حدا خايفة ومفزوعة
السلام عليكم،رأيت في الحلم شخصان تسقط اسنانهم الامامية في ايديهم و كانت الاسنان بيضاء…
السلام عليكم
حلمت ان احد اسناني في الفك السفلي جهة اليمنى مثقوب الى داخل اللثه ويمكن مشاهدة جذر السن وقناة الجذر علما ان هذا السن فيه حشوه
ماهو تفسير ذلك الحلم
ارى أسنان أخي بيضاء في المنام
حلمت يوجد شي صغير متكتل بداخله دم بين السنين الاماميتين من الفك العلوي، سحبت هذا التكتل بيدي فخرج دم قليل ثم نزلت اللثه من مكانها وتفرقت اللسنان ولكن مازالت متصله باللثه. فحاولت ارجاع الللثه والاسنان مكانها بيدي ، ثم صارت الاسنان تتخلخل و تغيرت مواضع الاسنان من مكانها وحاولت ارجاعها مكانها مره اخري . علما بأنني رايت اسنان جديده تحتها ولكن حاولت ارجاع القديمه فوق الجديده .
ثم صعدت اللي بيت الجيران لاصلاح اسناني ولكن كان المكان قليل النور وكان المكان يختلف عن العماره اللي اسكن بها .
علما بان الحاله الاجتماعيه عاقدة بعقد مدني من اجل بعض الاجراءات، لكن لم يتم عقد النكاح بعد. وقد قمت بصلاة استخاره قبل النوم لاستخير الله في استمرار زواجي لانه توجد بعض المشاكل.
وايضا ابي واعمامي متوفيين واخوتي الشباب لازالو علي قيد الحياة.
حلمت ان ثلاث اسنان سفلى لي من الامام دفعتها بلساني فوقعت ولكن لا أتذكر كامل المنام من كثر الاضطراب اللي استيقظت به ارجو الرد بأسرع وقت ممكن
السلام عليكم
حلمت أن أحد أسناني العلوية الجانبية من الجهة اليسرى كان يريد السقوط وعلى أخر مجرد لمسته بيدي سقط بيدي وكأني شفت مكانه كيف كان خالي بين الأسنان وبدون اي دم
مرحبا حلمت قريب الفجر انه طلعلي سن جديد بالفك سفلي عاليمين،، شوتفسير
حلمت ان سنتى كانت مدايقانى و خلعتها بمنتهى البساطة بس بعد كدا شوفت فى ايدى حاجات طويلة جدا شبة السنان بس مستحيل تكون سنة
حلمت سني العلوي يوقع بأيدي وفي دم و وجع وتسوس
سلام عليكم ورحمة الله وبركاته إنني لقد 4:30 اتممت صلاة الصبح ثم كفوا ثم حلمت الحلم بالاتي إني رأيت بس الأسنان العلوية قد نزلت أبو سقطت وهي ناصعة البياض وقد نبه لي أربع أسنان تحت الأسنان العلوية وكان صار لقد قلت صواب في الحلم
حلمت بان اسناني الامامية هشة و تتساقط بجون دم و انا ابحث عن طبيب لاصلح اسناني لكن لا اجده و اسناني تتفتت كالجبس في يدي
انا حلمت انى كان عند الم فى الرأس والدكتور كان بينضف اسنانى و شلى اربع ضروس فى الاسفل بجانب الايمن وبعد كدا وحطلى ضروس جديدة انا شاب وعندى ١٩ سنة وعزباء
السلام عليكم ورحمة الله
حلمت ان ضرسي العلوي سقط وكان كبير مره وكان ابيض وفيه بقعة صغيرة اسود بس فجأه حجمة صار اكبر وصار اسود مثل الفحم لدرجة اني صرت اطحنه بايدي
حلمت انو اسناني العلوين السن اللي ف الخلف مو ف الاخير لا بس السن اللي ورا مو الاسنان الاماميه كان يهتز وانا حاطه تقويم ف الحقيقه وفي حلم ايضاً كنت حاطه تقويم للاسنان وكان سني يهتز بشده ومع اهتزازو كان يوجد دم وكان بيطيح واحاول امسكو بكل قوتي انو مايطيح وبعدين رحت ل ابوي عشان يوديني المستشفى بسرعه قبل لايطيح بس طاح ولمن طاح سرت من غير سن وكان شعور مزعج جداً وكان السن ف يدي وكان شكلو كبير يعني السن الطبيعي صغير هذا كان لا كبير بشكل غريب.
انا متزوجة وكنت ع خلاف مع زوجى وكنت اريد الطلاق وهو صالحنى ورجعت الامور لطبيعتها حلمت انى شوفت اسنانى كلها سودة و كنت مضايقة من شكلها جدا ومش فاكرة نضفتها ازاى وكنت مبسوطة انها رجعت لطبيعتها ايه تفسير الحلم
نمت دهبت الى المرآة رأيت السنة السفلية لم اجدها مامعنا هده ؟
حلمت انو مرتي كيني مركبه طقم سنان اخضر وما حكتلي وعرفت بعد ما تزوجنا لاني شفته يسقط وانا اتفاجات وتذايقت
حلمت اني احفر ضرسي العلوية بيدي وكان فيه سوس ونتهيت من الحفر ومازال السوس فيه…
السلام عليكم.. حلمت ان اسنان كثيرة تنمو في فمي من اسفل ومن اعلي اسنان ناصعه البياض من كثرهم يسقطون في يدي وينمو غيرهم .. متزوجة ولدي طفلة
السلام عليكم
انا فتاه عزباء حلمت بأحد من أضراسِ العلي تتحرك و أحاول خلعه ولكن لا استطع خلعه بكل الطرق ماهو تفسير هاذا الحلم في الحقيقة نحن نمر حاليا بمشاكل كثيره أرجو منكم تفسير حلمِ وجزاكم الله خيراً
السلام عليكم
انا فتاه عزباء وفي الحقيقة نحن نمر بمشاكل كثيره حلمت بضرسي العلوي يتحرك وأحاول خلعه ولكن لم استطع خلعه ماهو تفسير حلمي وجزاك الله خيرا
حلمت بأن بنت من اقاربي تعلق على على اسناني السفلية بانها جيدة و اثناء حديثها سقطت سن من اسناني العلوية بدون دم
رئيت ان اسناني العلوية والسفلية كلها تسقط في يدي ماعدا الطواحن بقيت مكانها وكان شكل الاسنان صغيرا وبيضا مثل اسنان الاطفال وبدون دم وعددها كثير
السلام عليكم والدتي حلمت ان امرأة ورجل جاء ليأخداها ثم أخبراها أن تركب طقم اسنان من ثم أخدها ماهو تفسيركم وشكرا لكم
حلمت بفلجة بين اسناني العلوية و السن القاطع الايسر اللي فوق كان يتحرك
حلمت ان ابن خالتي اللي هو ان شاء الله هيكون خطيبي انو شكله متغير يعني وشه مش شبه اد كده وحتي في الحلم كنت حاسة انو شكله متغير بس برده كانت مشعري ليه زي ما هية وكان قاعد علي السرير وماسك الموبايل في العتمة ولما اكلمه كان بيضحك بس مش بيتكلم و لما بيضحك بلاقي انو سنانه من قدام لونها بني غامق يعني تحس انو عاليها جير أسنان بس بزيادة غير كده انها كانت شبه انواع الاسنان اللي شكلها أقرب من المثلث
السلام عليكم حلمت اني اقف جنب اصدقائي و حدث حوار و جدال و قام احدهم بضرب صديق لنا حتى وقعت اسنانه و كان على وجهه حيره و تعب و قال لي شوف كيف طيح اسناني و هو غاضب و كانت الاسنان بيضاء جداً
كنت خارجه في مدرسه او شي يشبه كذا وكان معايه اخويه بس مشفتو انو هوه بغير صف او هيج ف لاحظت سني الرحات تخلخل وكنت خايفه لا يوقع وكان ثانيه بعد ثانيه يسقط ويتخلخل مع الم خفيف واشعر روحي تطلع لاكن بألم خفيف بعدها ودوني لدكتور حتى يشلعو رغم هوه مشلوع قالو مكانه حصل فيه التهاب او شق في منطقه اللثه تحت السن ف شفت اخويه هناك وكالي بعيونه انو شبيج وهيج بدون ميحجي وكانت اسناني واضعتهم بمناديل ورقيه وخايفه عليهم وبيهم بقع دم ولاكن السن ابيض وجدا نضيف ووضعت فوقهم كثير من المناديل وحافظتهم داخل يدي
رأيت اسنان زوجي العليا غير نظيفة ولونها أصفر وبها بقايا طعام
رأيت ان سني السفلي الأمامي غير موجود واستغربت جدا ورايت السن الي جنبه عليه مثل التلبيسه السوداء فشلتها وقلت لازم اروح للدكتوره فقط عزباء
انا حلمت انو اسناني الي تحت سقطو على يدي وبدون دم وشفت فمي اسناني كانت لامعه ونضيفه بس مو كل اسناني سقطو بس 3سقطو اتمنه تفسروه الرجاء
حلمت ان اسنان زوجي السفله اغلبها وسقط وواحد منها كبر كثيرا زاد حجمه والعلويه سنيه الامامين متسوسان ويهتزان والباقي منه غير موجود
حلمت ان سني الامامي السفلي يهتز حتى طاح بيدي ولم ينزل دم واحس انه فيه سن بطلع جديد واقول ل امي ابي اركب سن ضروري عزباء
سلام عليكم ريت في راسي اربع حبوب ابيض لون خرج من وحدة سايل ابيض متزوجة وجزاك الله خيرا
حلمت ان أسناني الأمامية فقط السنين الي بالوسط متباعدات عن بعضهما وبهما شوية اعوجاج للداخل
حلمت ان الجنب اليمين ف اسناني كله وقع ال فوق وال تحت واللسه وقعت بدم ف ايدي،واسناني وقعة متفتفته مش سليمة،واتخيلت انى صحيت من الحلم لقيت امى واخويا قاعدين وحكتلهم الحلم لقيت سناني بتقع تاني بنفس المنظر ف نفس الحلم
يعني حلمت الحلم مرتين ف نفس الحلم
حلمت ان فكي كامل سقط وثلاث من اسناني خلعت وكان هناك اسنان جديد
السلام عليكم
حلمت ان ابني (وهو رضيع عمره ٤ أشهر ليس له أسنان بعد) حلمت ان لديه ٤ أسنان سفلية سليمة و٤ علوية ولكنها مكسورة وتريد ان تسقط
السلام عليكم رئيت في المنام اسنان ميت اماميه من الفك العلوي طوال بعض الشيء وكأنه فمه مفتوح من الخوف ورئيت ميت بالكفن الابيض وشكرا
حلمت بظهور نقطة صغيرة مثل حبه الفلفل الأسود ف لثة الاسنان وانا انزعها من عليها وتقشر السن ثم تظهر نظيفة
رايت شخصا اعرفه اقتلع السن الامامي و انكسرت ثم سقطت السن التي بجانبها وحدها لكنها لم تنكسر
حلمت ان السن المتوسط الايمن من الفك العلوي مهترئ وكان قبلها صلاة استخارة اذا كان الي نصيب بخطيبتي اللي فسخت الخطبة معها ما معنا ذلك
حلمت الناب العلوي في جهة اليسرئ يتخلخل لكنه لم يسقط وعندما رأه دكتور الاسنان قال لي لاتخافي هذا طبيعي انا متزوجة ولدي اطفال
حلمت انني أمام المراه وشعرت بتخلخل باسناني ثم فتحت فمي فسقطت أسناني الاربعه الاماميه السفليه على الأرض فتعجبت و خفت وقمت بجمعهم وانا اجمعهم طلع عددهم كتير و وضعتها بمنديل واجهشت بالبكاء . وعمتي كانت موجوده فقالت لي لا تقلقي هاد الشي عادي . واستيقظت وانا خائفة
ممكن التفسير
السلام عليكم
انا عزباء
شفت بالمنام انو كنت عاملة كل اسناني وكانو نظاف بس سن اخير من فوق شفته بالمرايا كان محفور شوي عشان يروح تسوس منه وبعده شفت اني عند رجل يعني ماله صغير في العمر كان يلبس كل اسناني سن سن ذي يلي يلبسوه مشاهير مثلا مابتذكر كنت بديه لبسه عشان يبقى اسناني الاساسية نظيفة المهم هاد رجال ماكان حلو وبعده هو راح للمطبخ ولما راح في خيوط موصلة بين كل سن يركبلي ولما راح اجباري اسنان راحو معها يعني طلعو من تمي وشكله كان ذي علكة مع علم اسناني اساسية بقيو لحقتو على مطبخ وتقرب مني كتير يعني مسكني وحاول يعمل شي ولكن ماشلح شي ولا انا كنت شالحة
حلمت ان اسناني العلويه كلها سقطت بايدي بدون دم و اتصلت ع دكتوري عشان اروحله اركبهم تاني
مشكلة قد تكون عائلية وسوف تنتهي قريبًا بإذن الله
حلمت اني اقول لاخوي لازم اسافر الرياض بالسياره لاني لقيت عمل هناك وسافرت وحدي وقدت السياره ولبست سروال طويل عشان يسترني ووقفتني نقطه تفتيش وكان الضابط يقولي ابي الاستماره واعطيته وكنت مرتاحه واضحك وشك فيني وراح وجاب ضابط اكبر منه وانا لازلت مبتسمه وهم شاكين فيني وقالو اوقف وصارت زحمه ولخبطه لين قدرت امشي وما وقفت وصلت الرياض وحضرت حفلة خطوبه في قاعه هناك ولبست فستان ابيض طويل وكعب عالي احمر وكنت مبسوطه ومرتاحه (انا عزباء) ياليت احد فاهم يفسر لي وشكراً
رأيت في المنام انه تم خطفي من اشخاص لا اعرفهم واني حاولت الهرب منهم بمكان يشبه الاراضي الزراعية ويوجد اسلاك شائكة مفتوحة من طرف وانني هربت منهم بمحاولة الهرب حاولت عض البنات اللاتي يمسكن بي ولكن كان لدي سن يهتز ولما استطع ذلك وفي محاولة الهروب وجدت جدار في طريقي
مع العلم لقد رأيت المنام اكثر من مرة وكل مرة يقصر طريق الهروب
السلام عليكم حلمت ان احد اسنان الصف السفلي وقع وضهر بدله سن اخر
رايت ان اسناني العلويه تتكسر من غير دم وتسقط في يدي ثم وضعت يدي على فمي كي لا احد يراء.
حلمت انو عم ركب بدلة سنان كاملة علوية لجارتنا بالحارة ولما خلصت وعم ركبا تفاجئت انو عندا خمس سنان فوق مع انو ما كانو موجودين بعدين تحولت البدلة الكاملة لبدلة سنان ملائمة لحالتها وركبتلا ياها وطلعت كتير منيحة ارجو التفسير
رأيت في المنام سقوط نابي العلوي اليمين وخروج ناب جديد وايضا رأيت اسناني الخلفيه العلويه والسفليه تسقط في يدي متزوج وعمري ٢٥ سنه
حلمت بأن أسناني الأمامية العلوية طويلة قليلا عن العادة فقمت بقص الزيادة حتى تتساوى مع باقي الأسنان وكانت الأسنان جميلة ونظيفة وبيضاء وكنت مسرورا جدا بها بعد التسوية مع الأسنان الأخرى حيث كان المنظر أجمل من الأول عندما كانت طويلة.
حلمت الليله بان زي ما اكون بلعب في سناني و بعمل حاجه ف وقع الناب اليمين فوق و بعدها وقع السن اللي جنبه ف اتخضيت ف بقول لامي السن ده كان اصلا بيتلخلخ بلعب في سناني او بتاكد انها موحوده وقع الخامس شمال تحت و بقيت مسكاهم بايدي ف ببص علي الضرس اللي تخت لقيته مسوس و لونه زي ما يكون فاتح ف ف استغربت و تقريبا في ضرس تاني وقع اللي كنت عمالاه طربوش بس مش فاكره ده صح وله اتهيالي بقيت مخضوضه و بقول لماما انا لازم اروح للدكتور
الحاله عزباء كنت مخطوبه و محصلش نصيب من سنه
وضرس من الضروس السفلى
انا حلمت انى اسنانك السفليه تقع بس داخل فنى بمعنى انها ارتفعت شويه لاعلى بوجود دم وقلت لامى نذهب للدكتور وتانى يوم ذهبت عند خالتى وجلست تاكل معها وحكيت لها وتاكدت من استغنى بيدها وجدتها سليمه تماما
السلام عليكم حلمت ان سني العلوي الموجود في المقدمة اليسار اتخلع ولاكن كان هنالك الكثير من الدم ينزل لدرجة انه اغمى على وعندما استيقظت وجدت سن جديد طلع مكانه ما تفسير الحلم
سلام عليكم حلمت اسناني تساقط الفك العلوي جهة اليمين الى سن الناب وامسكها بايدي دوم الام وسقوط باكثرة
حلمت ان سني العلوي قد سقط ليس الي في المقدمة ولكن الي بجنب الرحى واني قد كان عندي موعد مع الدكتور ليعالجه لكنه سقط في يدي وبدون الم وكان ابيض وغير متسوس
حلمت ان اسناني الاماميه في الفك العلوي تتفرق عن بعضها وأصبح بينها فراغات على رغم من اني واضعه / مركبه تقويم اسنان
رايت خير باذن الله ان السن المجاور للناب الليسر بالفك السفلي انكسر وكسرته انا بيدي لان اللثه عندي كانت يوجد بها تعب فمسكته بيدي وجدته اوشك علي السقوط فحركته بيدي فانكسر شعرت بطعم الدم في فمي ومسكت السن بيدي فصحيت مفزوعه لان اعرف ان سقوط الاسنان تعني وفات شخص واستعذت بالله كثيرا ونمت مره اخري انا حامل
السلام عليكم حلمت أن سني الأمامي أصبح أكثر جمالا و قد أعجبني كثيرا و بعدها قلت لقريبتي أنظري إليه و بعدها بدأ يؤلمني و في الآخر كان ذلك مركب أما سني الحقيقي كان عاديا و معتدلا و جميلا و انا انظر في المرآة و أقول في نفسي طلع سني الحقيقي أجمل من تلك الأوراق هيك قلت
حلمت انو كان لي سنين مو موجودين وبعدها وقع الثالث الي جنبهم موقع الاسنان بعد الاسنان الاثنين الاماميات عل يمين المهم رحت ل امي قلتلها انو وقع سني وما شفته وين وقع ولا شفت دم ولا مسكته بأيدي قالتلي انو في ناس أصحابنا نعرفهم عندهم عيادة أسنان خلينا نروح رحنا كان في شاب هو الي عالج اسناني وركبلي ثلاث أسنان جديدة وبيضه
حلمت اني امشي مع اخي الصغير فاصطدم اخي في الجدار فسقطت ضرسه الفوقي ثم بدأ يخلع في اسنانه ويضعها في يدي ثم قمت انا بنزع نابي و مسكته بيدي و انا اضحك
حلمت أختي تحت شفايفهااللي فوق في سن تحت الجلد شكلو بالعرض وكانت تحركو بلسانهاواسنانهاالاماميه شكلها غريب شويه سن راجع على ورا والسن التاني فوقو…علما بأنها متزوجه
حلمت اني ارتديت حجاب ابيض جميل وكنت احمل مصحف اسود مزخرف باللون الذهبي وذهبت إلى بيت بيراننا فخرج ابن الجيران وكان جميلا جدا ووقفنا نتحدث وكنت سعيدة وكان سعيد وينظر إليها ويبتسم وكانت اسنانة كبيرة وبيضاء ناصعة وفيها قليلا من التسوس انا عزباء
السلام عليكم
انا فتاه عزباء وحلمت ان لاختي اسنان طويلة وبيضاء وجميلة جدا وكان من طول الأسنان كانت لا تستطيع الكلام بصورة جيدة
رأيت ان ثلاث إلى خمس أجزاء كبيرة ناصعة البياض تتكسر من أكثر من ضرص في فمي و هي في حالة ممتازة و كنت اخرجها من فمي بيدي اليمنى و انظر إليها ثم القيها على الأرض و اقول انها سليمة و كانت كبيرة تلك القطع تقريبا ضعف حجم الأسنان الطبيعية و بياضها شديد و ناصع
هذا الرؤيا كانت بعد صلاة الفجر في العاشر من رمضان و غفوت و انا على وضوء و كنت اسبح و استغفر
انا متزوج و لدي طفلين من الذكور ٣ و ٦ سنوات و والدي على قيد الحياة و الحمدلله و عندي أربعة اخوات متزوجات و لديهم اولاد و بنات و الكل بخير الحمدلله. حتى جدتي ام والدي امرأة تسعينية ولكنها ماتزال بقوتها العقلية و الجسدية إلى حد ما و تقرأ القرأن و تصوم و تصلي على أكمل وجه
حلمت ان ليا سنه في الجانب الايسر من المنطقه العليا وغالبا كانت الناب بتتلخلخ بس موقعتش وانا كنت بحط لساني عليها والاحساس كان عادي زي ما بتحصل لينا عند تبديل الاسنان وانا عزباء في الحقيقه
رأيتُ في منامي أن ضرسي العلوي يتخلخل ثم سقط فأمسكته في يدي ثم انكسر إلى نصفين وكان لونه رمادي مع العلم أنا مخطوبة
حلمت أختي تحت شفايفهااللي فوق في سن تحت الجلد شكلو بالعرض وكانت تحركو بلسانهاواسنانهاالاماميه شكلها غريب شويه سن راجع على ورا والسن التاني فوقو…علما بأنها متزوجه
حلمت بأن اسناني الامامية السفلية فقط تتخلخل ومسوسة وباقي الاسنان قوية ونظيفة
وبعدها صرت ادفع اسناني بلساني بدون نية قلعها ولكنها تقع بدون الم او دم
والاسنان التي بقيت منها هي الثنية السفلية اليمنى والانياب من كل جهة
والانياب كانت قوية اما الثنية فكانت متسوسة
حلمت ان ابي أسنانه في الفك السفلي يتخلخلو ويريد ان يقلعهم
ثمن لمست اسناني في نفس المكان وخلعتهم مع الخروج الدم والالم … وارجو الرد على تعليقي في اقرب وقت وشكرا
انا فتاة غزباء حلمت اني في غرفة نوم والدّي وكنت اطالع نفسي بمرايه و اتفحص اسناني وكانت اثنان من اسناني الامامية السفليه مهزوزة و فجأه انكسرت و كانت والدتي جالسه معي ف غرفة واقولها امي اسناني الأمامية سقطت و قالي وريني اشوف و لمن وريتها بدأنا نضحك وبصوت عالي و قلتلها ضروري اروح المستشفى اسوي تركيب و قمت من النوم
حلمت ان اسناني السفليه الجزء اليمين انها تسقط والنصف الاخر سليمه وطاحت علي يدي اليمين وكنت مندهشه انه كيف طاحت وكان فيها اثار طعام وكنت برضو مندهشه ان كيف انا افرش وانظفها بس مجرد مافتحت الماء عليها بدت اثار الطعام تروح وصارت نظيفه.
حلم ان اسناني الاسفليه تطيح وبجانبي خالتي اسأله ليش تنكسر وكانت تحت الاسنان هذي اسنان زياده وكنت مصدومه كيف ان فيه اسنان
شفت في منامي عميطلعلي سن جديد في الاعلى وكان مبين شوي منو
حلمت ان اسناني الامامية فيها على شكل مشد ويوجعني وانا بالمستشفى وبدي اشوف بابا الله يرحمو وماخلوني وانا بدي انزع المشد من اسناني بس ما قدرت لانهم يوجعوني ولو نزعتة بيسقطو كنت خايفة ومتوترةو بعدين حكيت مع دكتور بالمشفى بعدها صرت كويسة وبضحك وما فيي ولا شي
السلام عليكم ارجوكي فسري حلمي رأيت ف المنام اني اخلع ضرس علوي بدون الم ولا دم واتفاجئ ف الحلم بردو انه لا يوجد بس سنتان علوي علما بان حماتي لسه ميته
السلام عليكم.. حلمت أن أقدر أحرك أسناني بس م اقدر اشيلهم من مكان ل أخر فقط احركهم ،مع العلم كان فكي الأسفل.. لو سمحتو ايش يعني؟
أنا حلمت أن السن الأمامي السفلي كان بيوجعني كثير و بقييت مزيرة عليه حتى سقطت و خفت كتير و لما فقت الصباح وجع السنة أحس بيه .
السلام عليكم حلمت ان ابتي وعمرها 8سنوات ضربها معلمتها في المدرسة و اسقطتها ثلاث اسنان امامية وبقيت داخل فمها و كانت بنية وهشة على عكس اسنانها الحقيقية بيضاء و عندما اتيت لاخذها ووجدتها كذلك اخذتها عند زميلتي وعندما دخلنا بيتها في الساحة تهجم كلبها عفاكم الله على ابنتي وادخل راسها في فمه و عندما تركها لم يكن هناك اثر للدم او للخدوش و تركتنا في الساحة ننتظر حتى حل الليل و لم تدخلنا
حلمت بان شخص يحبني يتحدث معي و يضحك لي و ليس في فمه اسنان
اسلام عليك.
انا شاب عمري 18عام رئيت خالتي في المنام في سطح المنزل … فتحدثت معها اثناء حديثنا نظرت إلى فمها رئيت ان هناك سنين من الأسفل غير موجودين ولاكن زاد ذالك من جمالها…فجلسنا وكملنا الحديث اثناء الحديث قامت خالتي بتقبيلي اكثر من مرة …
?
درو علي
رايت سني الامامي سقط وثاني يتخلخل وانا بزعل عليه
السلام عليكم انا رايت ان اثنين من اسناني وقعت وطلع منهم دم وزوجه اخي واختي وبنت خالتي كانو معي في الحلم وزوجه اخي كانت ترتدي باروكه وكانت تقول سوف ارميها ماهو التفسير
السلام عليكم عمري 17 سنة حلمت انني داهبة في الشارع واعطية لرجل مسن صدقة ثم صقط 4 من ضروسي الخلفية
شفت انو حنكي وفكي عم يوجعوني وفجأة بصيرو اسناني يهرو بس بيطلع مكانهم اسنان جدد وشفت انو بكون حاطط طوق حوالين رقبتي (طوق يلي بيستخدمو مرضى الديسك)
حلمت بأننا في وليمة عرس أخي و دخل شخص يسمى العربي تبسي (علما ان هذا الشخص هو مجاهد في الحقيقة و شهيد ) كان جالسا ف وضعت له طبق برقوق و اكل منه و ترك العلف ثم تبين لي ان هذا الشخص هو زوجي بعد ذلك و فجأة بدأت الناس تهرب و الخوف يعم المكان و السماء اصبحت سوداء لكثرة الطائرات …فما معنى هذا ارجوكم اجيبوني علما اني رأيته قبل شهر و في هذه الايام قد تزوج اخي كما لا اخفي عنكم ان الشهيد كان من ضمن جمعية العلماء المسلمين و التي تأسست في 16 افريل و عرس تخي قد تم في مثل هذا اليوم
حلمت ان في سنة عريضة ورا الصف اللي تحت وقعت نضيفة وبدون دم لدرجة اني شففت اشخاص فيها كانها مراية وتقريبا الاشخاص دول من عيلتي لاني وريت السنة لحد معرفة وفرجتو علي السنة الزاي يشوف فيها ناس ياريت حد يفسرلي الحلم والله اعلم
سلام عليكم حلمت انو سناً من مجموعه اسناني الامامي علوية وقعت بالحلم حزنت كتير وحطيتها بمكانها ورجعت عادي لو سمحتو ردو بسرعه لاني بجد خايفه?
حلمت ان الناب العلوي وضرسين خلفه سقطو وكنت في حاله توتر وهلع (مجموع الاسنان الساقطه٣)
السلام عليكم حلمت ان سنتي السفلي تلخلخ زعللت وعيطت جامد روحت ابص في المرايه لقيتها وقعت في ايدي جريت علي الاوضه وريتها لخلتي قولتها وقعت هيبقا شكلي وحش دي من سنتي الي تحت قالت هتطلع غيرها قولتها لا مش هتطلع لاني عندي 25سنه وصاحيه علي وجع اسناني ارجو تفسير الحلم
حلمت أن ضرسي وهو فى مشكله في الحقيقة حلمت أنه اتخلع واخدته بايدى وقولت لماما اتخلع الحمد لله وهرتاح واكل وابقا اروح للدكتور يصلحه بقا وبعدها لقيت اسنانى بتتخلع واحدة ورا واحدة حوالى تلاته اتخلعوا بس كنت بمسكهم فى ايدى انا عزباء والأسنان كانت فى الفك السفلى .. ايه التفسير لانى قلقانه جدا
حلمت اسناني بيضا وصافين وبالحلم مستغربه اقول يمكن من معجوني خلاهم بيض جني مسويه تبيض نت بياضهم علما باني بالواقع متزوجة ولدي ابناء
كحلمت ان سني سفلي امامي سقط مع قليل من دم فقمت بتنظيف سن بالماء
حلمت ان سبعه من اسناني تتخلخل وتسقط نصفها في الارض والنصف الثاني بيدي وجمعتهن كلهن من الارض بيدي
حلمت كاني شايفه الكعبه قدامي…. وقلبي مشغول بيها وبعاين كانو نفسي اروح ليها…
فجاءه ظهر رجل قدامي وبقولى وباشر لي بيده الرسول صلي الله عليه وسلم بقول لك حاتوصليها ان شاء الله …
..
مع العلم انى متزوجه وعندي بنوته الحمد لله
حلمت ان الناب الامامي قد سقط رغم انه ليس مسوس وخرج الدم وقمت ابكي لانه سقط للعلم انني مقبله ع خطوبه ماتفسير ذلك لطفا
حلمت ان الناب الامامي قد سقط رغم انه ليس مسوس وخرج الدم وقمت ابكي لانه سقط
للعلم انني مقبله ع خطوبه ماتفسير ذلك لطفا
حلمت انني المع اسناني حتى اصبحت بيضاء كثيرا
اختي الصغيرة حلمت كانت تمشي و سنها كان يريد ان يسقط و نادت امي كانو يرودون ان يخرجوه حاولو الى ان خرج وكان سنها العلوي و قالت وضعته في يدي و كان طويلاً جداً و كله دماء
كثير ما احلم أن اسناني الاماميه تتساقط وامسكها ب ايدي ..لكن أمس حلمت أن قطعة لحم مني تخرج معلقة من احدى اسناني الاماميه.. علما ب أن عمري ٢٧ وغير متزوجه
امى حلمت انها كانت بترقص و تغني في المترو و سلمت على حد لبسه متسخ و لما صحيت اخويا الصغير قلها انواع حلم بيها بنفس الكلام
انا رايت في المنام وانا فتاة عزباء اسناني كلها بيضاء وتلمع وهن في الواقع ع غير ذلك وفمي مفتوح وانا أرى كل اسناني ومتعجبة من لمعانهن. وانا بالواقع قد عملت عملية باسناني واقلعو ثلاثة منهن وحفرو لثتي ما تفسير
حلمت أن سني الرابع في الفك العلوي جة اليسار كأن فيه حفره من الجانب وان الحفره بيضاء لكن فيها نقطة تسوس وكنت قلقه وفكرت أن أخبر صديقتي لحشوها وبعدها فكرت بأن اذهب لدكتور أفضل حتى يتم إصلاح سنتي مع العلم أن سنتي غير متسوسه
السلام عليكم،رأيت اني سقطت لي سن واحدة في يدي من الاسفل من جهة اليمين،وشكرا
السلام عليكم
قمت بالاستيقاظ من الفزع الساعة ٧ صباحا
أسناني اعتقد السفليه كانت تتساقط سقط ١ في البدايه وبعدها تساقط اكثر من واحد لا اعلم ما العدد وجمعتهم اثناء الحلم وكنت اجلس مع ٢ من أصدقائي وطلبت منهم المساعدة وعندما امسك صديقي فمي استيقظت من الحلم بخوف وفزع خاصه عندما تذكرت ان رؤيه الأسنان دايما سلبيه ،
في الظروف الراهنه زوجتي في الشهر ٩ حامل وأصبح خلال اخر ايام بسبب كورونا لدي خوف شديد على زوجتي والبنت
هل يمكن تفسير ما رأيته ،
علما بانه حدث إيلاج قبل يوم ولم أقم بالاستحمام
جزاكم الله خيرا
لويتم الرد
زميلتي حلمت فيني ان سن من الاسنان الامامبه فيها شرخ بالعرض
حلمت أن سني في الفك السفلي يهتز(يتخلخل) بجوار الناب, فقررت خلعه وبعد ذلك تذكرت بأن لو خلعت السن لا تنمو لي سن جديدة وبعدها قررت عدم خلعه
انا عزباء وحلمت أن سنه من اسناني العلويه الاماميه وقعت وستنين من الخلفيه وقعوا وكان في واحده من الخلفيه الي وقعت مسوسه جدااا وسوده وكنت بعيط في الحلم جااامد
رايت ان انيابي السفلية انزاحت نحو اوراء واخدت الاسنان الاخرى مكانها واصطفت واصبحت جميلمن حيت المنظر
رأيت قريبةلي تبتسم واسنانها العلوية عليها كلخ وكانت غير منتظمة احتاج تفسير لهذا الحلم
رايت ان ابنتي ذات الثمان سنوات لها اسنان كثيرة جداً وبيضاء وكانت مرقمة واكبر رقم قراته كان ٩٩
رايت في المنام كتاب القران فيه ورقتان ممزقتان ولونهما مختلفان و رايت أن ابي و امي معي
رأيت ان احد اضراسي اليسار العلوي اني فاقده وأني وضعت لساني فلم اجد الضرس وكان فارغا
السلام عليكم رؤيه الاسنان العلويه تسقط سن بعد سن ليس كلمها مع بعضها ولم تسقط كلها سقط نصفها في يدي ماذا يعني هاذا
السلام عليكم، انا فتاة عزباء حلمت اني خلعت سن امامية واحدة و ناصعة البياض أعجبتني و قررت الإحتفاظ بها و قد سقطت في يدي بعد أن خلعتها أي أم تسقط على الارض
مطلقة عندي بنت رأيت أن أسناني بيضاء اللون وجميلة وقلت في نفسي لقد نفعني المعجون الجديد وكنت سعيده
انا رايت في المنام وانا فتاة عزباء اسناني كلها بيضاء وتلمع وهن في الواقع ع غير ذلك وفمي مفتوح وانا أرى كل اسناني ومتعجبة من لمعانهن. وانا بالواقع قد عملت عملية باسناني واقلعو ثلاثة منهن وحفرو لثتي ما تفسير
رأيت في المنام انني قمت بشراء سيارة بيضاء جميلة ولكنني وجدت فيها الكثير من الأسنان، فعلى ماذا يدل ذلك؟!
تفسير رؤية مجموعة كثيرة من الاسنان في سيارة بيضاء جديدة؟؟؟
قبل فترة حلمت إنا أخي كل اسنانة سقطة وهوا يبكي وانا اواسيها
قبل فترة حلمت إنا أسناني كلها سقطة وانا ابكي عليها
حلمت ابنتي أن بقرة تطاردها وكسرت عليها أربع سنون
امي حلمت فيي اني عم ورجيها هية وبابا.. انو سناني من جهة اليسار بالفك العلوي والسفلي متساقطين ..
رايت فى المنام ان سنتى الاماميه من جه الشمال بشالها بيدى وكانت جنبى اختى وبعدين بقول لها.شوفى السنه مفهاش حاجه قالتى استنى افتحها وبعدن لقيت جوها برص وصرصر قالتى لازم علشان كده تقع
رأيت في المنام اني نهضت من النوم ووجدت اسناني اختفت إلاّ واحدة في الاسفل وبعض اسناني بدأت تنبت مثل اسنان الاطفال الصغيرة
للعلم عندي دين وانا اعزب وداخل على مشروع صغير ان شاء الله
السلام عليكم ورحمة الله وبركاته حلمت بأنني أقلعت غشاء السن العلوي الأمامي بيدي وأمسكت به
حلمى هو انى حلمت ان اسنانى السفلى كانت بيضاء جدا والعلويه كانت عاديه كما هى
السلام عليكم
رأيت في المنام بأنني واقف امام مرآة واني فقدت اثنين من اسناني وهناك فلج بين اثنين من اسناني العلوية في المقدمة
وكنت في المنام اقول ان هذا منام وليس حقيقي.
هذه الايام اشاهد مسلسل له علاقة بالشيخوخة المفاجأة تصيب ابطال المسلسل
رأيت اسناني العلويه في المنام وكانت واضحه لي جدا ( اي ليس كما في الواقع ) وكانت بيضاء جميله ناصعه وكنت اقوم بتفريشها
رايت وجه لست متاكدة ان كنت انا او شخص اخر واسنانه صغيرة وبيضاء ومكتوب على الاسنان ارقام
حلمت ان ضرسي السفلي انكسر و سال دم مع وجع و مرات و كأن العلكة في فمي اكاد اخنق من كثر ما قدرت اشيلو و لا احرك فمي عدة مرات احلم نفس الشي
انا فتاه عزباء حلمت بانني متعبه جدا ومرهقةوانا بالمنام وبعدها صحيت من النوم وفاذا باسناني العلويه والسفليه قد خرجت من مكانها ولايوجد دماء او اوجاع فشاهدني ابي وامي وللعلم ابي متوفي وقالوا لي لا تخافي يا بنتي ما بصير الا كل خير فما تفسير ذلك للعلم نفسيتي تعبانه ودائمة التفكير
السلام عليكم من فترة رأيت ان اسنان الفك العلوي الامامية متراصة جدا..وبنفس الوقت اسنان فك السفلي الامامية تتباعد..عزباء
ووين الرد والتفسير لو سمحتو.
??
حلمت انه اسناني كلها وقعت في فمي واخذتها وضعتها في كيس وكأنه خرجت أسنان جددد وعندما نضرت إلى الكيس وجدت الأسنان التي سقطت من فمي سوداء
السلام عليكم انا عزباء ورائيت اني انخطبت واهلي وافقوو واني اتجهز للعرسي وارتب ملابسي ولكن سقط،سني النيب العلوي وذهبت الا امي وابي والتقيت بابنت خالي وكانت تهنيني وتبارك وتمزح معي وحين خرجت الا امي وابي لم اغطي راسي بالحجاب وقلت لا يوجد احد ولكن كنت اسعر وبشده بان اغطي راسي بحجاب وحدثت اهلي بان سني النيب سقط وقلت لهم كيف سياتي يون العرس ولم اركب سن قال لي ابي وهو يضحك سيركب لك زوجك. بعد الزواج وانا قلت له لا بل انت وكنا نضحك وقال لي ابي خلاص انتي مسوليت زوجك ولم تعودي مسوليتي. وانتها
رأيت ان صديقة لى متزوجة حديثًا الأسنان الأمامية تنخلع دون الم فى يديها
حلمت ظهرت ٣ اسنان جديده مع الاسنان العلويه الاماميه و بعدها سقط ٦ اسنان الجيده و القديمه
حلمت اني اذهب الى طبيبة الاسنان نظرا و اني اذهب فعلا لطبيبة ،،، وهناك لم ارى الطبيبة بل قامت بفحصي السكريتيرة في قاعة الانتصار و قد (كانت القاعة مليئة بشكل لا يعقل) وصعت لي الكرسي في وسط الناس في القاعة و قالت متفاجئة بمنظر اسناني : ان اسنانك كلها سوداء جدا عليك بخلعها كلها و اعادة تركيبها من جديد والله اعلم
حلمت اني ذهبت الى بيت الله و التقيت باصدقاء لي و قاموا باعطائي سكر و بخور ,,, و قالو اعطيه الى ابنتك و ابنك
سلام عليكم و رحمة الله و بركاته.
حلمت ان بزميلي في العمل يتكلم معي و هو بدون اسنان على غير عادته
زوجي حلم ان سنته او ضرسه العلوي الامامي اسود وهو يبكي بكاءا شديد
السلام عليكم حلمي هو اني رأيت نفسي و ابي و اختي في مكان يشبه ارض للزراعة و فجأة يأتي صوت فتى بلغة التركية و لا افهم منها شيء ابدا و مع العلم اني اكيد الغة التركية بي طلاقة و تعيش في تركيا و بعدها يصتضم نيزك بلأرض و تشتعل نار كبيرة فما تفسيره
السلام عليكم حلمي هو اني رأيت سن جديد يخرج في فكي الاسفل في الطرف اليسار و لم يشق الجلسة بعد فما تفسيره
حلمت ان اسناني السفليه تتحرك لدرجه كانها ستطيح اللي في جهه اليمين والاماميه وسقط من الاماميه سن او سنين مع دم قليل او بدون لا اتذكر ارجوو الرد الله يجراكم خير
السلام عليكم حلمت أن أسناني السفلية ونابي الأيسر العلوي سقطت على الأرض وقمت بجمعها في يدي وكنت أبكي بكاء شديدا ما تفسير ذلك رجاء
رأيت انني سقطت وتلقيت ضربة على اسناني واسناني الامامية للفك السفلي تتخلخل وكانت صفراء اللون وينزل منها دم
السلام عليكم أنا حلمت اني أعود الي اهلي ونجتمع وحين أبدأ في الاكل معهم ألاحظ ان الناب السفلي الايسر يهتز واشعر بة ثم انظر إلى اخي واخبرة اني بحاجة إلى دكتور حتى يعالج الأمر اقولها وأنا سعيدة لم أكن قلقة سوي من مظهر الأسنان وكنت مبتسمة في الحلم مامعني هذا وللعلم أنا عزباء
رأيت أن أخلع الفك السفلى من اسنانى الناحيه اليمنى بيدى ومحوله أعده مكانه
حلمت بان طليقي سقطت اسنانه كلها و بسهولة واحدة تلو الاخرى
السلام عليكم انا رئيت في منامي ان سني العلوي الذي بجانب الناب سقط الى فمي واضراسي السفليه الداخليه سقطت معضمها وانا حاليا ارمله ولا يوجد لدي اطفال فماهو تفسير حلمي
السلام عليكم
حلمت ان السننتين الاماميه العلويه بينهما فراغ ولونها ابيض
السلام عليكم
حلمت ان في فراغ بين السنتين الاماميه العلويه وكانت بيضاء
روايت الأسنان تسقط وتجميعها من الزواج ومن الزواج والزوجة ومن الزوج والوالد
السلام عليكم انا حلمت بوجود دم يخرج من سن العقل في الفك السفلي بداخل فمي مع عدم خروج الدم من خارج الفم
أريت انا أحد أسناني تصقط في يدي من دون وجع تما ارجعها في مكنها فا رجعت
مساء الخير حلمت بأن أسناني من العلويه سقطت التركيب وانه يوجد أسنان بس أسنان ضعيفه وعثرت بالمنام على أسناني التي سقطة معلقه الحائط أسنان بيضاء جميله انا عزباء ماتفسير أرجو الرد
اهلًا مساء الخير….
مشاكل وخلافات وكلام كثير بين أفراد العائلة وربما من بعض صديقاتك ويأخذ وقت من الزمن وسينتهي وستتحسن حياتك كثيرًا بعد ذلك وتسمعين أخبار تسرك بإذن الله
السلام عليكم
حلمي هوة رأيت ضهور اسنان تحت لساني اثنان وفوق لساني اثنان وشوفتة لوالدي وقال لزوجي اخذها للطبيب ماهو التفسير الحلم هل صحيح تفسير هذا الحلم هوة انا حامل
عليكم السلام
إن شاء الله يرزقك الله بالذرية الصالحة وستسعدين بهم كثيرًا
حلمت انى كان عندى سن مخلوع من زمان من بين السنين العلويين الاماميين و ان هذا السن المخلوع بدأ يظهر مكانه سن جديد ولكن كان فى بدايه الظهور مع انى فى الحلم كنت خالعاه من زمان و كان فيه فرق كبير بين السن و السن الآخر
(رغم عدم وجود سن مخلوع فى الحقيقة) و انا حاليا حامل فى بنت فما هو تفسير هذا الحلم؟
رأيت انى اعمل عند ناس غريبه عندهم لحمه حمراء ولما طلبت منهم يعطونا منها من اجل ناس اخرين رفضوا وفى راجل منهم شعره اسود مجعد طويل عنده سنه فى النص مفرقه قال لى الله يعطيكى فى ست كبيرة لابسه اسود وجهها ابيض اعطتها قطعة لحم مطهيه صغيرة اطعمتها فى فمها اقتربت منى و قبلتنى فى خدى و قالت لى الله يرضيكى و يعطيكى
الرؤية خير ان شاء الله ورزق اختي سيما.
حلمت اني بغرفه نومي وعلى سريري ومسنده راسي على صدر زوجي ثم قال لي زوجي اسنانك السفليه باديه تتوسع قلت انا ايه عشان ضرسي العقل قاعد يدفهن وباديات يتوسعن وانا بيني وبين نفسي قلت بس يبغى يطلع فيني اي عيب
متزوجه وزوجي متزوج علي ويوجد مشاكل
مرحباا
انا حلمت ان اسناني الفك العلوي من جهت اليمين دالضرس اللي قبل الناب والناب واللي جنبو كانو فوقها تلبيسة وشلتها ومانت فوق الاسنان شاش ابيض ورجعت التلبيسة خفتها توجعني
وشكرالكم
سلام عليكم رقد رايت في المنام انني اتكلم مع زوج اختي وسنته علوية ليست موجودة
انا فتاة عزباء طالبة حلمت ان اسناني الأمامية ي
صبح بينها فراغ يعني تفلجت
إذا كنتي في الحلم مسرورة وسعيدة بهذا فيدل على السعادة والأخبار الجميلة وتحقيق أمنية وإن كنتي حزينة في الحلم فالرؤية عكس ما قلناه……وإن شاء الله خير
رأيت في المنام ان الناب الايمن العلوي سقط و وقع في يدي ثم سقطت باقي الاسنان كلها في يدي و كنت اشعر ان فمي مليء باسنان اخرى و كنت في طريقي. الى طبيب الاسنان و استيقظت قبل وصولي الى الطبيب اريد تفسيره من فضلك
السلام عليكم
رأيت في المنام ان اسناني قد سقطت جميعاً ولا يوجد اسنان في فمي كذلك لساني سقط من جذره وامسكته في يدي وكنت احاول اعادته لمكانه لكن دون جدوى .. ماهو التفسير لذلك
عليكم السلام
مشاكل تنتهي وتتخلص من أشخاص سيئين وستسعد في الفترة القادمة بإذن الله
رئيت في المنام ان احد يطلب مني تنظيف اسناني وان لونها اصفر وقلت له لدي التهاب في اللثة ولا أستطيع أن افرشيهم كنت افتح فمي واقول له انظر عندي التهاب في اللثة ولا أستطيع أن افرشيهم وانها ستؤلمني لو فرشيتهم وهو ظل يقول لي فرشيتهم يعني نظفهم وانتهى المنام انا شاب اعزب كنت خاطب وفسخت الخطوبة من شهر تقريبا
انا رجل عازب حلمت باني سني الأمامي في الفك السفلى يتخلهل ثم يسقط بقليل من الألم والدم… يتكرر الحلم ونفس السن تسقط
السلام عليكم، انا سيده متزوجه حلمت انه اسناني العلويه و السفليه تالمني و اني غير قادره على الكلام بشكل سليم، و كانت مربوطه بسلك.
حلمت ان اسناني كانت قبيحة بالفك السفلي و سقطت بدون الم و ظهرت مكانها اسنان جديدة بيضاء
في شاب رأى انه وقع في يده ضرس وناب وشخص في الحلم اخبره انه الضرس سهل يتركب تاني – بس اكتشف ان الناب لا يخصه ناب زائد ومفيش ناب ناقص في اسنانه من الاساس
رأيت في منامي آخر ضرس بالفك العلوي ينكسر واعيد اصلاحه وينكسر ….واحاول أن لا يسقط مني للأرض كنت أبكي بالحلم وعند استقاظي ظلت اسناني تؤلمني. اتمنى الاجابة شكرا
مشاكل كثيرة في حياتك وصعوبات تواجهك وإن شاء الله تنتهي قريبًا
لماذا لم تفسرو حلمي رجاء اتمنى ان تفسروه
حلمت ان طلعلي سنة زيادة ما بين سناني الامامية وكانت بتوجعني جدا
اين تفسير حلمي
لماذا حلمي لم يظهر
سلام عليكم رايت نفسي عند دكتور الاسنان ولدي ٤ اسنان مسوسه وواحد من اسناني يقع بين ايدي السن الغير مسوس وكنتوخائفه كثيره ومقهوره وقلت ٤ من اسناني مسوسه وواحد وقع والثاني يتحرك وبعدها مسكتو بالسن الذي بجانبه رايته يتحرك سالتو دكتور قال لي بانه سوف يعالجه انا متزوجه وليس لدي اطفال
انا خائفه كثيره ارجو الرد بسرعه من فضلكم
مشاكل وهموم سوف تنجلي عنكي قريبًا جدًا بإذن الله
حلمت ان اسناني العلويه الخلفيه تكسرت اخر ضرسين في الفك العلوي نكسرت وسقطت في يدي وخرج بض الدم ممكن تفسير
وايضا رايت المطر غزير
مشاكل في طريقها إلى زوال وستتحسن أحوالك المادية والنفسية قريبًا بإذن الله
حلمت أن سناني الاماميه ٣ وقعوا وتحتهم سنان صغيره ونزل دم
لم تبيني حالتك الإجتماعية فهذه الرؤيا تدل على خير سوف يأتي ومشاكل وخلافات ستنتهي بإذن الله
رأيت أسنان صديقتي كلها مسوية أي شكلها جميل ومتناسقة وأيضا بيضاء. مع انه في الواقع أسنانه عكس ذلك تماما وتضع تقويم الأسنان.
حلمت ان انا التي اقوم بمحاولة خلع سني السفلي وهو يتحرك لكن لا ينخلع و ليس هناك دم و ليس الامامي و علماً انني عزباء
السلام عليكم حلمت حلما غريبا كان كالتالي: حلمت انه شخصا احبه جاء الى بلدي هو واهله وقامو ب استأجار بيت ب 100 دولار وكان بيتا فخما استأجروه لمدة اسبوع و كان اب الشخص اتاني بهدايا عديدة لكن في الحلم لم يكن شكله كالحقيقة اي كان في صفة شخص اخر وكان يتعارك مع ابنه في الحلم اي لايعلمبه معاملة جيدة و حبمت انه كنت مع الشخص الذي احبه و قال لقد ذبحنا خروفا تعالي لتريه لكن عندما رأيته كان على هيأة بشر لكن قررت ان اصدق قوله وارى انه خروف وليس بشر ولقد كان معلقا من رجله ما تفسير هذا الحلم؟
السلام عليكم
رأيت ان سني الامامية على اليسار يأكلها التسوس وتحدت فجوة بين سني المجاور لها
عليكم السلام
مشاكل وخصومات في حياتك ….فحاولي الوصول لحل وعليكي بالدعاء لله وإن شاء الله خير
حلمي انني امسك اسنان الاماميه العلويه وتتفتت بيدي من الامام لم تتفتك كلها ولاكن من الامام ورايت السوس بداخلها اسود اللون وذهبت لزوجي وقلت له قال لي لاعليكي سوف نضع غيرها هذي الاسنان وذهب لامي وقالت لقد قلت لكي اهتمي بسنونك ولكنكي لاتسمعينني ملاحظه الذي تفتتا السنان الاماميان وانا اذا مسكتها تتفتت بيدي ، انا لدي ابن وحامل
ابنتي وعمرها ١٢ سنة
رأت ضروس ملتصقة ببعض بشكل سلسلة بشكل طولي ومتدلية من احد ضروسها وهي تحاول قصهم بالمقص وكلما قصتهم ينبت غيرهم
حلمت ان اسنااني الامايه واحد منهم سقط والاخر انكسر نصف منه وضرص من اضراصي سقط معا السن بدون دم
وجود ناب علوي بشكل عرضي و طويل و يهتز ما تفسيره
بسم الله الرحمن الرحيم
حلمت ان احد اسناني الكبيرة الثانيه ما قبل الاخيرة
اني اقتلعتها بيدي وكانت مجوفة من اثار السوس اي انها خاويه لم يتبقى الا الحواف فقط وكانت طويله بقدر الاصبع الصغيرة
فذهبت الى الدكتور فقام بتغييرها بسن بيصاء سرني ذالك المنظر
حلمت ان ابني ذي 10 اشهر ظهر له سن امامي وكان لامعا جدا
حلمت بصديقتي ولايوجد لها أسنان سفلية لكنها تتكلم بلفظ صحيح
اخواني انا حلمت اني كنت بلمشفى وجاء الطبيب لكي يخلع سني ماقدر يخلعو قالي اربطو في جنزير وحطه في الباب مارضيت للعلم السن كان يتخلل من محاوله الطبيب للخلع ولكن انا خرجت ورحت على اداره المستشفى لكي اقدم شكوى على الطبيب وكانو معي ناس مابعرفهم ولكني طلبت محامي وفتره انتضار المحامي وقع سني واحد فقط السفلي على الارض بدون دم ومسكته في يدي الرجاء تفسير الحلم
مرحبا حلمت انه ثلاث اضراس السفلي من جهة اليسار وقعوا وهم ملتصقين مع بعض وضرسان من اليمين وهم ايضا ملتصقان وحاولت ارجعهم ما عرفت
حلمت أن زوجي ابتسم لي. كان لديه سن وحد أسفل الفم غير موجودة. عندما إقتربت ، وجدت أنه كان لديه سن تنمو من جديد
ربما كان في ضائقة مالية أو فقد مبلغ من المال في شئ وسيعوضه الله خيرًا كثيرًا بإذن الله كما أن الحلم يدل على صلاح أحوالة وزوال المشاكل والخلافات الأسرية والعائلية
حلمت انو سني الخلفي طاح على يدي
شكرا
لم يتم تفسير الحلم
حلمت ان سناني العلويه تقع في يدي وتظهر مكانها اسنان اخرى
أشياء جديدة في حياتك ونجاح وتحقيق ما كتنتي تتمنيه في الماضي وسعادة وإستقرار بإذن الله
حلمت ان سني النيب العلوي طاح على يدي وهو اول كان يتخلخل بس الغريب انوا كان عندي سنين مسويسين مرا لدرجة اللثه طالعه هما السنين الي بعد النيب ولا طاحوا بس كنت زعلانه مرا عشنهم كذا
حلمت بان الناب السفلي يؤلمني و خدر ومبتعد عن الذي بجانبه و اللثة حمراء
خير وزرق ان شاء الله..
من فضلك راجع الموضوع ستجد تفسير حلمك بالتفصيل.
حلمت ان ضرسي يقع علي هيئة قطع صغيرة وبودرة ماتفسير ذلك الحاله عزباء
رأيت إني انظر إلى أسناني الجانبية ، و كانت بيضاء للغاية عدا من فوق صفراء قليلا و كنت منبهرة و سعيدة لشدة جمالها ، و قلت لنفسي إن الاصفر هذا طبيعي في أي أسنان
أسناني العلوية والسفلية تتساقط مع بقاء سن فالمنتصف وعدم رؤيتي للأسنان المتساقطة بجانبي وكنت في امتحان وكنت أبكي برجاء الرد
انت في محنة وكرب وسوف تنجلي بمشيئة الله …..عليك فقط الدعاء لله مع محاولة حل الخلافات أو الخروج من المأزق والمشكلة التي تعاني منها
تفسير الحلم بالناب السفلي يؤلم و مخدر و اللثة حمراء و مبتعد عن الذي بجانبه
مشاكل وخلافات في حياتك العائلية والزوجية وكلام كثير يؤلمك نفسيًا….بعض المشاكل الزوجية والعائلية ليس لها علاج أو ربما نتغاضى عن بعض العيوب والمساوئ التي نراها حتى تمر الحياة ولا نعكر صفو حياتنا بالنكد والهم …..فلا عليكي من ذلك فالمخدر الذي رأيتيه في الحلم هو التغاضي والتناسي عما أنتي فيه والإنشغال بالواجبات التي تؤديها نحو أسرتك وسوف تحصدي ثمار المعاملة الحسنة والصبر وستسعدين بإذن الله
حلمت بان الناب السفلي يؤلمني ومخدر كما ان اللثة حمراء
حلمت بأن الناب السفلي يؤلمني و بعيد عن السن الذي بجانبه ومخدر ايضا اللثة حمراء
حلمت ان سنانى الاماميه العلويه تخلخلت وسقطت فى سن منهم اليمين رجع مكانه تانى والسن الشمال وقع على إلارض فى فضلات بهائم و مسكته نضفته واخدته فى أيدى ،،،، ممكن تفسير
حلمت بان الناب السفلي يؤلمني و اللثة حمراء و مبتعد عن السن الذي بجانبه
حلمت ان الناب السفلي يؤلمني و مبتعد عن السن الذي بجانبه ومخدر ايضا واللثة حمراء
السلام عليكم حلمت ان اسناني مكسورة بشكل صغير بين الاسنان اول سنين الاماميات ونظرت الى يدي يوجد معي سن في يدي ونظرت الى اسناني كاملات والسن هذا مالو مطرح انا شاب عمري ٢٥
حلمت أن بعض أسناني السفلية غير موجودين و على ما أتذكر3 وظللت طول الحلم أسأل نفسي ازاي هما راحوا فين وأعتقد بعض الأسنان من فوق أيضا… أرجو الرد
حلمت ان خالتي سقطت اسنانها العلويه فما تفسير الحلم ؟
حلمت انى كنت بتخانق مع بابا وكنت ماسكة حاجة بسنانى وهو شدها منى واسنانى كلها وقعت وكان فيهم دم وكنت بوريهم ل ماما وكنت بعيط بس السنتين اللى قدام فوق وتحت موقعوش كانوا بيتلخلخو والدروس اللى ورا خالص موقعتش كانوا زى ما هما
أمي رأتني في منامها أن أسناني تحولت الى عظام رقيقة متفرقة ماتفسير ذلك
مشاكل وهموم كثيرة في حياتك وسوف يصرفها الله عنكي قريبًا بإذن الله فأستعيني بالله وأكثري الدعاء
السلام عليكم رأيت وكأن شخصا أعطاني ورقة بيضاء جميلة مكتوب عليها اسمي بخط جميل ومرتب بلون اسود انا فتاة عزباء عمري ٢٣ سنة
في هذه الفترة تقدم لي ولاختي الصغرى عريسان هل للرؤية علاقة بهذا الموضوع
السلام عليكم رأيت سني الناب السفلي الأيسر يسقط في يدي وكان عليه مثل الفطريات ولم ينزل دم (انا عزباء)
السلام عليكم رأيت سني الناب الأيسار يسقط في يدي و كان عليه زي الفطريات ولم ينزل دم (انا عزباء)
عليكم السلام
تتخلصين من همومك ومشاكلك وعلاقة سببت لك متاعب نفسية وسيعوضك الله خيرًا كثيرا بإذن الله
السلام عليكم
حلمت حلمة اولها كان ملخبط شفت بيت حماي كتت قاعدة عندهم وتزاعلت معهم بعدين روحت ع بيتي وهو تحتهم وانا نازلة شفت خيال طفل صغير باب البيت انا هربت حاملة ابني وبركض وبركض طالعة طلعة فوق البيت وبطلع وراي الا هي بتركض وراي وانا هاربة وهي بتركض وراي وبتضحك وانا مييتة رعب ما بدي ياها تمسكني اخر شي تيجي تعترض طريقي وتمسكني كل وقمت من الحلم مفزوعة وبصرخ .. هلا انا عندي ولد سنيتن وعندي بنت توفت ع عمر ٣ شهور
السلام عليكم لقد حلمت البارح انني ألتقيت صديقاتي في العمل لانني تركت منصب عملي منذ مدة ورايت احدى صيقاتي قد وقعت اسنانها الالمانية رغم صغر سنها
رأيت إبنتي (عامين) لديها سنان زائدان فوق اسنانها ناصعين البياض و مظهرهم جميل جدا
إن شاء الله ذرية صالحة سوف تسعدين بها
السلام عليكم
رأيت ان أنظر الى نفسي في المرآة فكان في بين اسناني الامامية العلوية متفرقة و انزعجت من شكلها فقمت برصها و تقريبها من بعض
لماذا لم يتم تفسير حلمي
بحلمت بوقوع ٤أسنان من أسناني الامامية العلوية …. وظهور أسنان صغيرة جديدة بدلا من ثلاث الا واحد بقي معلقا وتحته سن جديد … عزباء
السلام عليكم
حلمت أن سني السفلي سقط لكن رأيته و كان في يدي تم تساقط السن الآخر و بدأت أسناني تتخلخل و كان كلها تقرببا في يدي لكن فقط الاسنان و قد نما سن آخر مكان السن الأول الذي سقط لكن لم تسقط كل الأسنان ظلت منها في فمي لكن كانت تتخلخل
السلام عليكم
حلمت بان الناب في الفك العلوي يتخلخل فخلعته ومن بعدها ظهر سن جديد اقوى وانصع
وايضا الناب في الفك السفلي خلعته وظهر سن شديد
ما هو تفسير الحلم / مخطوبه
سلام عليكم.. اني حلمت ضهور لي سن في للثه فوق للأسنان لاماميه وانه ابيض وكنت في لمنام مضايقه منه ومقهوره لان طالعلي ممكن تفسروليا.. انا فتاه عزبا
انا حلمت بوالدي المتوفي وكان في الحلم اخي ايضاً وكان اخي يرينا اسنانه جهة اليمين ويخبرنا أنها جميله جدا وجاء والدي الي وفتح فمي وظل ينظر الى اسناني من جهة اليمين فأشار له اخي ان ينظر الى سناني جهة اليسار لأنها هي الجميله وشعرت بثلاث ضربات برجلي واستيقظت مع العلم اني كنت ارى رأس ابي فقط في الحلم دون جسمه ولم يتحدث ابداً في الحلم . ( الحاله الاجتماعيه متزوجه )
الأسنان تعبر عن حياة الإنسان العائلية والإجتماعية وكذلك الأحوال المادية والنفسية فما فيها من جمال يدل على الإستقرار والسعادة والراحة النفسية وما بهم من تسوس وألم يدل على المتاعب والهموم والمشاكل العائلية وفقد الأسنان قد يدل على الموت وفي حلمك في الغالب يدل على العلاقات الأسرية فربما أنتي مقصرة بعض الشئ أو يوجد بعض الخلافات أو الزعل بدون تصريح ….حاولي أن تصلي رحمك وتودي الأقارب وتصفحي عمن أساء إليكي وإن كان هناك بعض المتاعب النفسية أو الهموم فلا تحملي نفسك ما لا تطيقين وإن شاء الله سوف تزول همومك وستتبدل حياتك للأفضل
السلام عليكم حلمت كانني قطعت الربع العلوي من فكي من الجهة اليمنى من دون الم وكان فيه 3 ضروس. ثم تفحصته. كان الاول مسوس والثاني مكسور (4 أجزاء) والثالث سليم وكنت أتساءل ان كان الثالث هو ضرس العقل.
أنا عزباء وأدرس كانت عندي مشاكل في الدراسة وبدات تحل ان شاء الله
حلمت أن احد اسناني الأماميه تخلخل ووقع في يدي وقالت امي لي انه ناب وثم انكسر الي اربعة اقسام وكان السن من الداخل فيه سوس لكني فيه الحلم شعرت ببعض الالم
انا فتاة عازبة .. رأيت ان اخي الكبير اسنانه العلوية الأمامية اصبح مقرفين و مكسورين ولكن لم يسقط ولا سن من اسنانه .. ارجو تفسير هذا الحلم لأنها يقلقني كثيراً
هم وحزن في حياته إبحثي عن حالة وحاولي تخففي عنه همومة فقد يحتاج إلى من يدعمه بالنصيحة أو بالمحبة والرعاية
السلام عليكم
كنت ماشي فجأه بدأت احرك السن السفلي بأيدي وبعدها خلعته بأيدي بدون اي وجع ورميته
سلام عليكم
حلمت ان الناب السفلي الأيسر يتخلخل ثم سقط
انا متزوجة وحامل بولد حلمت انني انجبت بنت ولديها ضرسين واحد باليمين والاخر باليسار والضرس الذي باليمين يوجد به تسوس بسيط يظهر كانه نقطة سوداء ….ارجو تفسير الحلم للضرورة
ممكن تفسير حلمي من فضلكم جزاكم الله خيرا
تم الرد
شكرا جزيلا على الرد بارك الله فيكم
رأيت في منامي سن صغير موضوع فوق طاولة الحمام بالقرب من الحنفية على فكرة السن صغير جدا كأنه لطفل صغير و أبيض و جميل مثل أسنان الحليب و أنا أغسل يدي بالصابون و أختي اسمها بشرى تقول لي لا تمسيه. عزباء
صلة ود وترابط عائلي وسوف تحققين ما تأملين بإذن الله
حلمت أنى كنت امام المراه ف الحمام ورأيت جميع اسناني تحول لونها الي اسود وسقط نصف الفك العلوى وتلخلخت بعض الاسنان ف الفك السفلى ودخل خطيبي وغسل يده وخرج ورأيت الدماء ف اسنانى وكان شى يشبه الديدان السوداء ف فمى كنت أريد أن اتقيأ
ربما يوجد خلاف شديد مع خطيبك أو لا تتوافقان في الطباع وحياتك متوترة جدًا ….أكثري من الدعاء والتوجه لله وإن شاء يتيسر لك الأمر وتتبدل حياتك للأفضل
حلمت اني اخلع اسناني في الفك العلوي جميعها
علما اني في مشاكل كثيرة مع اقربائي وصل الى حد التهديد بالقتل .. اخبرني تاويل الرؤية
مشكلة سوف تنتهي قريبًا بإذن الله ….وانت تقول أن هناك مشاكل عائلية إلى حد التهديد بالقتل فإن شاء الله تنتهي على خير وحاول أن تهدئ من الخلاف باللين والحكمة
هل من تفسير لرؤيتي جزاكم الله كل خير
مرحبا.. ممكن حدا يحكيلي تفسير الحلم
شفت تخلخل (سن واحد)السفلي وسقوطه بإيدي وكان لونه مائل للرمادي و وقفت امام الراي انظر الى الاسنان وانفقدها لمعرفة سبب سقوطه
بدون الام او دم
أذى وضرر سيزول عنك بإذن الله قريبًا
أشكرگ ?
تسلم
أشكرگ ?
زوجتى غاضبة وهى الأن فى بيت أبيها فأنا حلمت انها رجعت إلى بيتى وكانت من أسنانها العلوية والسفلية مكسورة ارجو التفسير وإلافادة وشكرا
السلام عليكم ..رايت في المنام اني استيقظت وتحدثت عادي تماما ولم اشعر باي الم ولا دماء وحين نظرت الي مجهي في المراه استعدادا للخروج لم اجد اسنان اي اسنان في فمي . دون ان اشعر بشئ ..فهل من تفسير افادكم الله ؟
ممكن تفسير حلمي جزاكم الله كل خير و وفقكم لما يحبه ويرضاه.
تفسير حلمي بالله عليكم
من 18 اغسطس
حلمت أن ضرسي من الجانب اليمين العلوي تفتت ونزل في يدي
شخص سئ تتخلطين منه أو مسألة كانت تؤرقك سوف تنتهي قريبًا ويعقب ذلك راحة نفسية بإذن الله
السلام عليكم ورحمة الله
ممكن اعرف شو معنى هذا الحلم
??
حلمت ان السنتين اللى فوق ضعاف وهيقعوا بس مفيش دم وكنت بحرك فيهم وانا بعيط بدون صوت ودموع كتير بس ماوقعوش..
حلمت ان سقط بيدي سنين واحد كبير والثاني صغير من فكي العلوي الايمن سقطوا بيدي وبدون الم وكانو ناصعبن البياض
السلام عليكم
حلمت ان كل اسناني ماعدا الاربعة الاماميه العلوية والسفليه
تساقطت كلها دون اي تدخل مني ودون الم او وجع
فكنت ادفعها من فمي بلساني الى كفي واطالعها وهي نظيفة وبدون دم
ثم ارميها واحدا واحدا على الارض ومن بينها سنان ملبسان ثم انظر اليها وانا امشي سيرا في الطريق وخلفي شخصان معروفان ثم رجعت لعتاب نفسي على رميها .
ماتفسير ذلك؟
السلام عليكم.
رأيت في منامي سن صغير موضوع فوق طاولة الحمام بالقرب من الحنفية على فكرة السن صغير جدا كأنه لطفل صغير و أبيض و جميل مثل أسنان الحليب و أنا أغسل يدي بالصابون و أختي اسمها بشرى تقول لي لا تمسيه.
انا غير متزوجة
السلام عليكم ورحمة الله وتعالى وبركاته أنا بنت عزباء عمري 18سنة أرى منذ مدة طويلة نفس الحلم يتكرر لكن بانقطاع يعني تمر مدة وأعود أرى نفس الحلم وفي الحقيقة هذا ماادعاني أن أستفسر عن حلمي والحلم هو أرى أنني أكون كأني متعصبة وبكزز أسناني وبحس بألام إحس بالجنون والله العظيم كأنهم سيسقطوا لكن لا يسقط اي سن وأحس بآلام كبير هذا الحلم تكرر معي كثيرا أرجو أن ترد عليا وشكرا
أنا حلمت انو سقطوا ضرسين أماميات وبدون دم واحد علوي وواحد سفلي ومسكتهن بإيدي بس الضرس السفلي اول الشي كان بيتزحزح والعلوي نزل لحالو بعدين نزل السفلي من بعد ما نزل العلوي ومن ناحية انو كان مسوس او لأ مو متذكر للأسف …هل من مساعدة ؟
مشاكل عائلية وسوف تنتهي قريبًا وقد يوجد شخص مسن في العائلة مريض وسقوط السن المسوس يدل على زوال هم وكرب وتحسن في حياتك المعيشية بإذن الله
تحلمت اني كنت اغسل يدي وطالعت ف اساني لقيت الاسنان السفليه كلها بتطيح تتحرك لو مسكتها ورحت لاأبوي ابكي واقول اسناني بتطيح
غير متزوجه
تحلمت اني كنت اغسل يدي وطالعت ف اساني لقيت الاسنان السفليه كلها بتطيح تتحرك لو مسكتها ورحت لاأبوي ابكي واقول اسناني بتطيح
رايت اسنان ابني تسقط بالكامل علويه واثر دم عليها بيكون جوز اخته السبب بحاول ارجع الاسنان مكانها مابترجع مافي الم بس ابني زعلااان كتير وانا بكون اصرخ واخانق بدي اشتكي عجوز بنتي لانه عمل هيك بابني
كلام سئ يقال قد يغير النفوس وقد يؤدي إلى الخصام وفي هذة الأمور إلتزام الصمت أفضل حتى تهدأ الأمور ثم التحدث بالحكمة والحوار الهادئ وإن شاء الله يكون خير
تفسير حلمي جزاكم الله كل خير
ماذا كان الرد من فضلك
تفسير حلمي جزاكم الله كل خير و وفقكم لما يحبه ويرضاه
لسلام عليكم.
وجدت سن صغير موضوع فوق طاولة الحمام بالقرب من الحنفية على فكرة السن صغير جدا كأنه لطفل صغير و أبيض و جميل مثل أسنان الحليب و أنا أغسل يدي بالصابون و أختي اسمها بشرى تقول لي لا تمسيه.
غير متزوجة
السلام عليكم.
وجدت سن صغير موضوع فوق طاولة الحمام بالقرب من الحنفية على فكرة السن صغير جدا كأنه لطفل صغير و أبيض و جميل مثل أسنان الحليب و أنا أغسل يدي بالصابون و أختي اسمها بشرى تقول لي لا تمسيه.
غير متزوجة
حلمت أني أضغط على أسناني بشدة و عندما صحوت وجدت أني لا زلت أشعر بالألم !
السلام عليكم
حلمت ان جزء من اسناني العلويه وقعت بدون دم
وان سني الناب السفلي الايمن تخلخل ووقع
وايضا جزء من اسناني السفليه غير موجود
ماهو تفسير الحلم؟
عليكم السلام
أذى وضرر يذهب عنك وخلافات ستنتهي قريبًا بإذن الله
حلمت ان اسناني كلها واحدة تلوى الاخرى طاحت ومفيش دم كنت احاول امنع سقوطها فلم اقدر حتى اني لم اكن استطيع ان اتنفس فعندما اتنفس فإني ابتلع اسنان حيث كان كل من الفكين يوألم حتى بعد استيقاظي
انا حلمت أنى كنت نايم فى بيت مش بتاعى و صحيت لقيت امى و زوجتى و ابى موجود فى البيت دا ولقيت فى فمى خيط سحبتو كله لقيت اسنانى كلها وقعت فى يدى بس عددهم كتير جدا جدا يا ريت يا ريت تفسير للحلم
السلام عليكم ..
رأيت في المنام تباعد الاسنان العلوية ويوجد فراغ في مكان السن وعند ملامستي لمكان السن خرج منه مادة بدأت اسحبها بقوة وخرجت بعد تعب وخوف من متظرها …..مامعنى هذا وشكرا لكم
رايت في منامي ان انا وزوجي وابني راكبين عربيتنا وانا وزوجي اتخانقنا وقولتلو نزلني نزلني فعلا ومشي وسابني وكنت في طريق زي طريق السفر كده ولقيت ناس اعدت معاهم ووانا ببكي وبمسح دموعي اسناني العلويه سقطو في المنديل الاسنان الجانبيه العلويه ليس الضروس وليس السنتين الاماميتين
ارجوكم الرد
الرد من فضلكم
السلام عليكم حلمت حلمين
الاول : حلمت سني الرباعي جهه اليمنى على وشك السقوط لكن احاول الصاقه بلساني لكنه يسقط في يدي ويكون به القليييل من الدم ثم انظر ف المرأه يكون باقي شي ضئييل لونه بني اقول، ليه ماطاح كمان
الثاني حلمت نفس السن يسقط نصفه في يدي نظيف وانظر للمراه يكون باقي شي خط بني انزعه بيدي واقول اخيرا شلتو ونصف السن يبقى نظيف ومن جهه اخرى تقول لي امي اذهبي للدكتور وانزعي باقي السن فلانه نزعته وارتاحت
عزباء
رايت في منامي سقوط اسناني الاثنين الاماميه وكنت اتقيئ الدم واثناء التقئ سقطت اسنلنى ورحعت ابحث عنعا في المغسله وكانت عناك اسنان اناس كثيره واتياب فلم اعرف ايهما سني وكانت بجانبي امي واخي
ارجو الرد
انا حلمت انو الناب انا خلعتوا بايدي من كثرة الالم وانا عزباء
رايت في المنام قبل صلاهةالفجر اني اتهوع واتقئ الدم في المغسله ورايت في المراءه ان اسناني فقدت الاماميه العلويه الاثنين ورجعت ابحث عنها وحصلت اسنان كثيره وانياب فلم اعرف حقي وفجاءه رايتها في فمي متركبه ففرحت وعندما مسكتها كانت مقلوعه وكانت بجانبي في الحلم امي الغاليه .اتمنى الرد بسرعه
السلام عليكم حلمت اني كنت بخلع اسناني اللي فوق من الناب الي الناب خلعت اسناني وادتها لوالدتي وبصيت على المرايا لقيت اسناني كأني مخلعتش حاجه واستغربت وقولت ل ماما ازاي وانا لسه خلعاهم، ارجو الرد
رايت اني لي اسنان جديدة لونها ابيض وهي نفس اسناني القديمة لمن اهبشها بلقاها طرية مش قوية مثل اسناني القديمة وكلها بالفك التحت الجهة اليمني
السلام عليكم
حلمت بان الناب الذي بجانب ضرسي السفلي قد تفرق عن الضرس واصبح هنالك فراغ في تلك الجهه بينما اسناني التي بالمنتصف في الفك السفلي برزت الى الامام
رأيت في المنام ان ضرسي من القك الاسفل قد سقط وجهه الابيض فنظرت في المرأة فوجدته اسود اﻻجو التفسير
حلمت ان السنتان الامامية معوجة وتتحرك ولم يعجبني رؤيتها لبشاعتها ثم رايت كل اسناني جميلة وبيضاء ولكن رأيت اسنان اخري في اعلي الفم في غير منبتها الطبيعي
رأيت في المنام أني أجامع إبني المتوفي وعمره ١٤ سنة من الدبر حتى إني رأيت أني قذفت في دبره
السلام عليكم
رأت زوجتي أن لدي أسنان كبيرة ويوجد سن فيها طويل وبارز
انا بنت عمري١٥حلمت ان اسن الي قدام الثنين انكسر من الي ع الايسار جزء واليمين جزء اتمنئ التفسير
حلمت أن سني أمامي على اليسار تخلخل والسن الذي بحانبها على اليسار انخلع ولكن بدون دم وحزنت لما انخلع سني وتخلخل الثانية أنها أيصا ستنخلع انتهى
السلام عليكم ابنت اختي حلمت ان 2 من اسناني الاماميه التحتيه سقطوا باقي منهم شوي وفي شوي دم واحاول اكل واسناني توجعني وسالتني فين اسنانك قلت لها طحت بالدرج
حلمت ان وحدة من اسناني سفلية نكسرة وكان دام كثير في فامي
حلمت ان اسناني السفلية سقطت ولكن لحمة بقت معلقة بيهم فلاهم سقطوا في بيدي ولاهم بقوا في مكانهم
حلمت ان السنتان الامامية معوجة وتتحرك ولم يعجبني رؤيتها لبشاعتها ثم رايت كل اسناني جميلة وبيضاء ولكن رأيت اسنان اخري في اعلي الفم في غير منبتها الطبيعي
حلمت انه سني العلوى الامامى مخلوع واجا زوجى ضربنى بمسدس رصاصتين برجلي لأني طلعت من بيته قالى هاد عقابك واخدني معاه ع بيته ورجلي كانت بعد الرصاصتين منفوخه شويه صغيره زى حبايه صغيره وربط رجلي مع العلم انى متخانقه مع زوجى صارلى فتره وطالعه من عنده
السلام عليكم
حلمت إن سن اللي ورا بالفك العلوي ، كانت محشيه وفجأه أنا قعدت أسحب من حديد ” مثل النحاس ” سحبت لين م اخرجته كله .. انتهى
حلمت اني كنت بمكان فيه حشيش نفس ورا بيت خال الشخص الي احبه وبمكان ما اعرفه كنت كاني اكل شي مش فاهمه ايش هوه فجاه حسيت اسناني طلعوا وقدهم في فمي
خرجتهم ليدي
كاني شفت اختي كانت موجود وكان سقوط الاسنان العلويه كامل والسفليه الاماميه بس
حلمت ان امي و اخي عملوا حادث وانا باكيت بس خرجو سالمين ما التفسير
حلمت اني كنت اضحك قليلا و اسناني الاربعة الامامية بيضاء جميلة كأني عملتلها ليزر و كانت عاجبتني كتير مع العلم انو حلمي لما الاقي شغل اعملهم ليزر و اصححهم ارجو الرد من فضلكم
رأيت في منامي ان الفك العلوي بتخلخل ولم يظهر نزول دم
ياجماعه اللي يعرف تفسير حلمي يقول جزاكم الله خيرا .. انا حلمت ان سن لي كان هيقع ولما وقع اللي جنبه وقع وهكذا لحد ما الفك العلوي وقع منه نصفه الايسر *8* .. وحسيت ان الاسنان كلها هتقع فاضطريت اني اقفل فمي
أرجو الرد ?
حلمت اني كنت انظف أسناني وكان الوسخ موجود بين الأسنان بكثره مثل الورق المعفنه يعني كنت انظف ويخرج الوسخ بكثره قمت بتنظيف وخلع الوسخ الذي كا الورق المعفن بين الأسنان حتى انتهيت ونظفت كل فمي .. فما تفسير ذالك جزاكم الله خيراً
السلام عليكم
رأيت في المنام ابنتي ظغيرا ظهر لها سنين في منطقة السفلة كانت سنها واحد أكبر من الثانية بقليل
مع العلم ان عمر بنتي 9 أشهر وليس لها اسنان
حلمت ان اسناني العلويه سقطت كلها وبدون الم او دم وظهرت أسنان جديده وبيضاء وجميله وكنت فرحانه
حلمت سن الناب العلوي يسقط بايدي وباقي أسناني يتغلغلن
حلمت بوجود اسنان في باطن قدم ابن خالتي الصغير
سلام عليكم انا حلمت ب انبات اسنان اخر في فكي الاعلى رغم ان اسناني مرتبة لكن تلك الاسنان التي انبتت لقد انبتت
فوق بعض اسنان اخور
السلام عليكم، حلمت انو اسناني كلها وقعت و صرت ودع اهلي و ابكي و خبرهم اني رح موت و سامحوني و كتير كنت مزعوجة يا ريت التفسير؟؟
عليكم السلام
مشاكلك سوف تنتهي قريبًا وخلافات عائلية ستزول وتنصلح حياتك وتبدأين حياة جديدة وجميلة إن شاء الله
حلمت ان اسن سني الخلفي في الجهه العلويه علي اليمين كان يتخلخل وسحبته من مكان وانخلع علما ان في الحقيقه هذا السن مسوس وانا عزباء
حلمت اني نائم فاحسسة بوجع في أربعة اسناني السفليين بعد ذلك أصبح كامل فمي مملوء بدم الصادر من اسناني فخرجت لمنادات أمي للمساعدة فجأة توقف الدم و سقط أربعة اسناني السفليين فبسقتهم ب يدي لم أرى كم سنان سقط تحديدا لكن أظن أن أحد الأسنان قد بلعتها لم أفهم معنى هذا الحلم تحديدا لذا ارجو ردكم سريعا و شكرا
حلمت ان اسناني صفراء وفرقه
ارجو الرد حلمت اني اكل لبأنه وبلعتها وانا ببلعها لقيت سنان معاها بلعتها لكن سناني الاصليه موجوده
حلمت ان نصف الاسنان العلوية سقطت ولكن بقت معلقة في فمي ورجعتها كلها في مكانها
عزباء
انا متزوجة وعندي ولدان وانا تقريبا اعاني على كل الاصعدة صحية ومادية وعائلية رأيت في المنام ان سني الناب الذي قمت بعلاجه سابقا قد سقط في يدي مفتت بدون دم اي بقايا السن تخرج في كل مرة من فمي ارجوكم فسروه لي فقد خفت كثيرا
السلام عليكم رايت بالمنام ان ابي المتوفي يجلس معي و تعجبت من بياض اسنانه السفلية و اخد ينضفهم بالة تنضيف واساله عن الالة ومن ثم رايت اخر الاضراس السفلية صفرة قليلة مع بياص الاسنان وابي اسمه محمد و رايت ان شخصا يريد الدخول الى البيت و هو خجل ولما عرفته قلت له ان اسمه محمد و هو الذي سمي باسم ابي لامه ابن عمي و هو حديث السن 43 سنة متزوجة لي ايناء محمد عبد المغيث و هاجر
حلمت ان عدد من اسناني السفليه كانت تالفه وسقطت وانا أقف ع الحوض لأ رميها فجأة لم أجدها أمامي وفي نفس الوقت كنت أعمل في وظيفه غريبه وهي اني اقاوم الانجليز ايام الاحتلال وذلك من خلال افتتاح مطعم في معسكر انجليزي لمعرفة تحركاتهم وايضا في الحلم رأيت عدد كبير من الضروس السفليه غير موجود ومكانها ظاهر. ارجو الافاده بجد وشكرا
رأيت سني الامامي العلوي جهه اليسار وقع نصو وانا نايمه وتفتت بس بقي نص التاني بتمي
حلمت ان سلك الأسنان يؤلمني فقمت بنزعه بصعوبة فعند نزي له رأي في يدي سنين امامين احدهما في يدي ولاخر لا اعلم فذهبت لوالدتي فاخبرتها فحزنة ولاكن رأيت البهجة والسرور في وجهها
أنا مو متزوجه ، حلمت إنو أسناني جميلة وبيضاء ومنظمة و مرتبه لكنها كلها وقعت ومسكتهم بيداي و كمان حلمت إنو سني الناب وقع ونزل منه دم ،، وكانت أسناني بالحلم جميلة وناصعة البضاء
حلكت ان فمي يوجعني و اسناني كمان كانت تهتز و تتحرك صرت امسك كلينكس ب ايدي و اخلع الاسنان المهزوزه الي هي اسناني الي تحت كل سن كان يتخلخل شلته ايش يعني
حلمت أن بعض الأسنان فارغة وجاهزة للحشو ما تفسير المنام
السلام عليكم رايت في منامي ان اسناني الامامية العلوية والسفلى تتخلخل فنزعتها وعندما نزعتها وجدت تحتها اسنان اخرى جديدة
حلمت بان كانت هناك شعره ملتفه حول ضرسي الاخير في الفك اليسار السفلي، وعندما سحبتها ضرسي الذي فوق في الامام على طرف اصبح يتحرك على وشك الوقوع وعلى اطرافه كان هناك دم ،ف كنت اذهب لاخواتي واريهم ضرسي الذي يهتز واضحك واقول لهم انظروا ضرسي الامامي سيقع وساصبح بلا ضرس وكنت اضحك معهم
السلام عليكم
حلمت اني الناب العلوي قد سقط ووقع في يدي و ضرسين او النابين لا اذكر ايهما ولكن اذكر انهما كانا في اسفل في المقدمه قد سقطا و الناب العلوي الاخر يتخلخل ولكن لم يسقط امسك بيه وانا اجري في مدرستي الابتدائيه والاعداديه و ابحث عن الدكتوره واقول كل هذا مني لم اهتم بأسناني لعلاجها وكنت منشغله في الدراسه ووجدت الدكتوره وحددثتها عن المشكله تم استيقظت من النوم وهي كانت تعالج اسناني
انا حلمت اني كنت قاعدة مع امي و وابي وفجأة حسيت بوجع في سن من اسناني السفلية و فضلت احركها عشان اخلعها واتخلعت فعلا وحطيتها في ايدي و دخلت الحمام عشان كان في دم كتير بس الغريب ان السنه كانت كبيرة اوي المهم حطيتها علي الحوض و لقيت ان كان في سنه صغيرة كده اتخلعت برضوو بس مدتلهاش اهميه يعنيوحطيتهم ع الحوض واقعدت ابتسم في المراية لقيت ان السنتين اللي جمب السنه اللي كنت خلعاها هما اللي اتخلعوا كنت فكراه مكانهم يعني.. ارجو التفسير لان انا دايما بحلم زاي الحلام دي كده
حلمت اني خلعت سني الاخير السفلي و كان في دم
امى رات فى منامها ان سنتها الاماميه فى الصف العلوى انكسر منها جزء بدون الم او دم ولما نظرت اليها فاذا هى سنان خالتها وهى سنان صفراء وبيها فروق
امى حلمت بعمتى واسمها عايدة وجاية لونها اسود واسنانها العلوية مش موجودة
السلام عليكم
حلمت انو طبقة خارجي لاسناني (بياض) تسقط في يدي و تخرج من داخلها أسنان حديدية
شو تفسير
مرحبا
حلمت ان سني الأعلى قد سقط و بدأت اقتلع اسناني الأخرى حتى من الانياب و كانت تقتلع بسهولة و عندما استفقت قد تقيأت اعزكم الله هل هناك من تفسير ( علما اني قد حلمت بعد أن صليت الفجر ) و شكرا
مرحبا،
حلمت ان ابي واقف امامي عندما تخلخل اول ضرس و سقت في يدي، بعدها غضب ابي وقال ان الدكتور لم يصلحه لي جيدا و بدأ اشعر ان اضراسي كلها ليست مستقره و بدأت بخلعهم واحد تل والآخر نصفهم مسوسين و النصف الاخر لا ، الا ان وجد ضرس قد نزعته من فمي فيه ٣ اضراس معا وهم ليسو مسوسين …
حلمت اني ذهبت انا وصديقتي لدكتور الاسنان لتجميل اسنانا العلوية. مع العلم انه هذا الدكتور بالواقع هو اخ صديقتي وهو دكتور عيون .
وعندما اعود الى البيت اجد ان احدا من الجيران استعار ملابس من خزانتي . وافتح باب الحمام اجد بالمرحاض براز كثير ثم اغلق الباب فتقول امي ان هذا برازها . ثم اشاهد جنازتين من بيوت جيراننا
حلمت إن نابي الاسفل جهة اليسار انكسر وضهر فيه شيء من التسوس
رأيت أن طفلي الرضيع ذو السبعة أشهر قد ظهر سنه العلوي الأيسر.
جالى كبوس وف الكابوس كان والدى يصرخ من غير صوت و من غير اسنان
حلمت انو دكتور شال جذر سن الناب الي فوق يعني ربع السن و باقي السن موجود مع أنه مافي شي يثبته
السلام عليكم حلمت انه انا اغسل وجهي وفجاءة شفت المرءاة ولقيت سني الامامية العلوية وقعت في يدي وفيها شوية تسوس بس مافي دم وفجاءة شفت للمراءة تاني ولقيت الاسنان العلوية اليمنة وقعت كلها
سلام عليكم..
حلمت اني في زيارة مع مجموعة من أصدقائي القدماء من اصحاب الدين وكافلي الأيتام مع مجموعة من الأيتام ، اني ادفع أسناني السفلية بلساني و تسقط بين يدي امام المرأه مع بدء ظهور أسنان جديدة من داخل اللثة مع العلم اني أعاني من كسر في سني الأمامي السفلي منذ ثلاث سنوات ولم أقم بإصلاحه حتى اليوم.
تحياتي
سلام عليكم..
حلمت اني في زيارة مع مجموعة من أصدقائي القدماء من اصحاب الدين وكافلي الأيتام مع مجموعة من الأيتام ، اني ادفع أسناني السفلية بلساني امام المرأه مع بدء ظهور أسنان جديدة من داخل اللثة مع العلم اني أعاني من كسر في سني الأمامي السفلي منذ ثلاث سنوات ولم أقم بإصلاحه حتى اليوم.
تحياتي
السلام عليكم مالقيت تفسير واضح للحم اتمنى الجواب حلمت اني احرك ضرسي اسفلي لاكن ماسقط وماكان مافيه تسوس او دم ماهو التفسير جزاكم الله خير
السلام عليكم .
بدايه حلمي لقيت بيدي اسناني الاماميه ورحت جري للمرايه اطالع بفمي اشوف ضروسي تطلع بدون شعور بالالم واشيلها بيدي مع باقي الاسنان رحت لامي وانا ابكي اوريها واسناني كلها كانت سودا ماهو سوس ..كذا كانت نظيفه وناصعه السواد تلمع وكان من بينها سن شكله غريب طويل قالتلي امي ارميه وخلي الباقي معاك ورميته هنا صحيت من النوم وش تفسيره وجزاكم الله خير
حلمت ان أسناني تحولت من صفراء الى بيضاء ؟
السلام عليكم ورحمة الله وبركاته حلمت أنني كنت أتحدث مع شخص وفتحت فمي ولاحظت بأن اسناني العلوية الأربعة الامامية واسناني الاثنين الامامية السفلية غير موجودات وكررت النظر إليهم ولم استحي من عدم وجودهم وأنا اتحدث.
حلمتُ إنني أنظر الى المرأه وأرى ان اسناني العلية الأماية الإثنان يوجد بينهم فراغ
فأنا أقول لنفسي في الحلم : يييي صاير في فراغ بين أسناني ..
السلام عليكم ،
حلمت أن اسناني الاماميه غير موجوده يعني من الأسنان الاماميه العلويه الى مكان الانياب و هن أيضا مفقودات و الأسنان المقابله لهن السفليه أيضا نقوده بنفس الشكل العلويه ما عدا السنين الاماميين السفليين ، ان شاء الله خير وبارك الله فيكم
السلام عليكم ،
حلمت أن اسناني الاماميه غير موجوده يعني من الأسنان الاماميه العلويه الى مكان الانياب و هن أيضا مفقودات و الأسنان المقابله لهن السفليه أيضا نقوده بنفس الشكل العلويه ما عدا السنين الاماميين السفليين ، ان شاء الله خير وبارك الله فيكم
حلمت انى فى سنه وقعت من الاسنان العلويه بس ماشوفتهاش وهى بتقع خلمت انها وقعت خلاص وفى درس متلخلخ وهيقع وبقيت خايفه انو يقع واقول لنفسى مش كفايه السنه اللى وقعت هى كل سنانه هتقع ولا ايه واعيط وبعدين انا فى الخلم كنت بقول لنفسى ان ده حلم وتفسيره وحش وكنت خايفه على ولادى وقاعدة ادعى ربنا يخليلى ولاده وبعدها صحيت وانا خايفه جدا
حلمت اني طلعلى ضرس جديد بس نصو بس ال كبر ومكملش وروحت للدكتور يديني دوا عشان يطلع كلو
السلام عليكم ،
حلمت أن اسناني الاماميه غير موجوده يعني من الأسنان الاماميه العلويه الى مكان الانياب و هن أيضا مفقودات و الأسنان المقابله لهن السفليه أيضا نقوده بنفس الشكل العلويه ما عدا السنين الاماميين السفليين ، ان شاء الله خير وبارك الله فيكم
صباح الخير
ياشيخ انا حلمت اليوم قبل صلاة الفجر وبعدها بشوي اذن الفجر ان اسناني الجهه اليمين من ورى من عند الضرس الين الناب طاحت في يدي ومسكتها وكأني رحت ابكي عند اخوي واقوله شف اسناني طاحت المهم وحطيتها ع التسريحه ورجعت شلتها وبنفس الوقت ابكي شوي من الجهه اليسار طاح الضرس الاخير وحطيته مع اسناني اللي بيدي وبعدها صحيت …
افدني جزاك الله خير…
حلمت أسناني العلي تتفرق
رأيت اسناني مسوسة ومكسرة وبعد فترة نصرت إلى المرأة فأصبحت سليمة
بسم الله الرحمن الرحيم اول شي انا كان ضرسي بيوجعني قبل مانام ومابعرف بهالحالة بيتفسر المنام او ماالو معنى لان كنت عم فكر بوجع ضرسي؟؟ شفت انو نصف القسم العلوي اليمين سقطوا قطعة وحدة بإيدي من دون ضرس واحد وهذا الضرس كان فيه تسوس كثير وانا زعلت على الاضراس والاسنان يلي سقطوا قطعة واحدة وحسيت برياحة لما سحبت الضرس المسوس
رأيت حماتي تبتسم وتنظر الي ورأيت اسنانها بيضاء اكبر من الحجم الطبيعي ولها خمس اسنان في سقف حلقها والسادس يظهر منه القليل
وكنا انا وهي نتشاجر ماذا تعني رؤياي
حلمت ببنتى هى عندها 9 سنين حلمت ان وقعتلها سنة وسالتها فى الحلم هى السنة مكنتش وقعت منك قبل كدا قالتلى لا فقولتلها بتبدلى
حلمت ظهور أسنان فوق أسناني العلوية مرتين و كانت صغيرة ومنها غير ثابت
حلمت بانني كنت نائمة أحلم انني كنت انضر الى المرآة واقتلعت سني العلوية اليمنى ثم سني العلوية اليسرى بيدي و لم يكن هناك دم و عندما استيقظت من الحلم الثانوي قلت في نفسي سوف اصبح يتيمة
حلمت بأنني كنت نائمة و حلمت حلما كنت فيه انضر الى المرآة و اقتلعت سني الامامية اليمنى ثم السن الامامية اليسرى بيدي و لم يكن هناك دم و عندما استيقضت من الحلم قلت سوف اصبح يتيمة
حلمت ان اسناني العلوية عليها دم متخثر
حلمت انه اسناني تفتفتت وضلو بإيدي وقع منهم قطعة
حلمت ان اسنان الاماميه مع الشفه السفلبه فيها فراغ
انا مركبه تقويم وحلمت أن سني كان يتخلل بعدها طاح وحسيت اني ارتحت يعني كان التقويم كان مضايقني مع انه لا
رايت في منامي ان احد جيراني صمع لي طقم اسنان السفلي واهداني اياه وكان الطقم جميل
حلمت ان سن من اسناني العلويه الاماميه اول شي يتقلقل وبعدها يكتسر من الجذور الي يدي
انا طالبة في دراسة الطب ولقد شهدت ولادة خالتي بطفل جمييل جدا اسمته خالد فاعتبرت خالد مثل ابني واتعلقت به والان ورئيته في المنام وقد ظهرت كل اسنانه عدا سن واحد وكانت هذه الرؤيا بعد استخارتي في خطبتي من احد زملائي
حلمت ان أسناني السفليه تتلخلخ و واحد انخلع والدتي أخذته و سالته في دولابها و الثاني سنه كانت متركبة و اتلخلخت و سنه تانيه اتخلعت بايدي مع العلم السنة المتركبة في الحلم بس
رايت في منامي اني ذهبت لكي اعالج ضرسي من الالم ولكن رايت ان نابي يتخلخل فبسهوله قلعته في يدي ومكانه كان يوجد نقطة حمراء وحدث هذا معي عند دكان حلاق وانه يوجد شخص سوف يعالجني لا اعرفه المرجو الآن الافادة
حلمت ان سن من أسنان زوجي الاماميه واقعه وغير موجوده.. ولم ارى السن الواقع بالحلم.. ايش تفسيره بتمنى تفيدوني
حلمت انني ازيل قطع من سلك حديد من اللتة العلوية لاسناني
حلمت بأن لي سناً زائداً (إضافياً) خلف اسناني الامامي العلوية (اي كأنما يكون منبت في اللثة) و تسبب هذا السن الاضافي في تخلخل اسناني الامامية و سقوط احداها…
حلمت ان سنتي السفلي بتتلخلخ ورحت عشان اشلهاعمتي اقلتلي متشلهاش هتعلم مكانه وخالتي راحت ردي عليا قالتلى انا سنتي ملخلخ بس سيبها وبخدلها علاج راحت عمتي اقالتلي خدي علاج من عمتك فتحيه أو خالتك إيمان هو ده اللي هيجيب نتيجه معاكي اقولتلها خلص ماشي مش هقلعها وهخدلها علاج من خالتي إيمان بعد ماكل ورحت وخده حاجه لسنتي من المكتبه لحد ماكل
حلمت ان سنتي السفلي بتتلخلخ ورحت عشان اشلهاعمتي اقلتلي متشلهاش هتعلم مكانه وخالتي راحت ردي عليا قالتلى انا سنتي ملخلخ بس سيبها وبخدلها علاج راحت عمتي اقالتلي خدي علاج من عمتك فتحيه أو خالتك إيمان هو ده اللي هيجيب نتيجه معاكي اقولتلها خلص ماشي مش هقلعها وهخدلها علاج من خالتي إيمان بعد ماكل ورحت وخده حاجه لسنتي من المكتبه لحد ماكل
السلام عليكم اولا رأيت أني ذهبت للطبيب وخلع مفاصل ركبتي وقال انة سيركبها لي ولاكن دكتور التخدير ليس موجود وذهبت من عندة وانا امش من غير مفاصل ركبتي وكنت امشي طبيعيا في الحلم ولاكن في جزء من الحلم كنت ازحف كالطفل،
اما الاخر فإني رأيت سنة من الاسنان العلوية إما الناب او السنة التي بجانبة غير ثابتة في مكانها لاكني خلعتها بلساني وبصقت دم مرة واحدة بعدها ،وسقطت علي الارض فاخذتها بيدي وقمت بغسلها وكانت بيضاء ،
اولا أنا رأيت في هذة الليلة احلاما كثيرة ،مثل اني اريد غسل سيارتنا ولاكني لم اغسلها لان مفاصلي مخلوعة حفاظاً علي رجلي التي خلعت مفاصلها ، كما أني اعاني من مشاكل نفسية كبيرة منذ الطفولة عمري الان 23 عاما وانا بدأت عمل في مجال السياحة منذ 20 يوما وهذا اول عمل في حياتي
حلمت ان ضرسى الشمال سقط بدون دم مع العلم انه كان من فترة محشى
رايت اني اخلخل الناب السفلي اللي على اليمين وانخلع وبعده خلعت سن عاليسار وخليتهم بيدي وفجاه صارو اكتر من سنين وانا اقول خساره بيض ومافيهم شي
حلمت ان جزء صغير من اسناني انكسر وعندي اخواني الذكور ولم اخبرهم وشككت ومن ثم ذهبنا انا واحد اخواني نقضي امرا فرجعنا واكلت علكه وانا راجع الى اخواني الذكور وتفتت كل اسناني الى اجزاء صغيره واخرجتها ف الارض وهي متماسكه وبدون دم وابكي لاخي واقول له انظر كل اسناني سقطط
تحلمت ان كاني طحت ع فمي ولما مسكت فمي لقيت اسناني الاماميه تهتز وكانت راجعه ورى قمت حركتها بيدي وقدمتها مافيه الم او دم ابدا كانت اختي قدامي وكانه بجنبها زوجها ما هتموا فيني وكنت احاول اقدم اسناني ورجعت مكانها
حلمت انو الفك العلوي للاسنان طالع لبرا بحكي لاهلي طالع كثير بحكولي لا مش طالع مع انو كان طالع كثير بلحلم والناب الايمن لنفس الفك العلوي بتخلخل وفي جنبو جورة لونها اسود واحمر وكنت احط اصبعي عليها
رأيت أن سني العلوي الأيمن كأنه مسوس وصغير مسكته بيدي فسقط
حلمت اني قمت بحشوة تلاث طواحين في الفك السفلى ٢ ع اليمين والثالث ع اليسار شو التفسير
رأيت في حُلمي اسناني التي في طرف اليمين من الطرف السفلي والأمامي قد وقعت جميعاً وقد بكيتُ بُكاءً شديداً (أنا فتاة عازبة)
حلمت ان السن الذي قبل الناب متسوس جججداً حتى العروق والاعصاب التابعه له ارى سوادها ذهبت لأمي مفجوعه اريها ففزعت من منظره ماذا يعني هذا الحلم؟ارجو الرد جزاكم الله خير
حلمت بخلع جميع اسناني وتبديلها باللؤلؤ الابيض
حلمت بخلع جميع اسناني وتعويضها باللؤلؤ الابيض
حلمت بزوج اختي المسجون طالع من السجن وساقطات اثنان من اسنانه من الفك العلوي
حلمت ان اسنانى بيضاء جدا وكذلك ضروسي الصف السفلى ولكن فى ضرس تحت على اليمين على الرغم انه ابيض بس كان مخروم والخرم كان نظيف مع العلم ان ضرسى ده فى الحقيقه معموله حشو
الحالم فتاه عزباء
ربما كانت لك علاقة عاطفية تألمتي منها كثيرًا أو خطوبة لم يوفقك الله فيها وسوف يعوضك الله خيرًا وتسعدين بإذن الله
ابنتي حلمت ان سنها العلوي من جهة اليسار معقوف وقالت لنفسها كل مرة بيصير معو هيك وقررت ان تضع تقويم للسن ..ماتفسير ذالك؟ وشكرا
حلمت انه انا واقفة وكانت اسناني الامامية السفلى مره مضايقتني شوية مسكتها خرجتها في يدي وبعد ماخرجتها حسيت براحة كبيرة
السلام عليكم انا حلمت ان ضرسي يتخلخل وانا كنت اريد ان اصلي فقلت فالحلم خليني اتوضي قبل لا اطيرها لان لو طارت حتنزف دم وانقض وضوئي واستقيظت
حلمت ان زوجى كسر السنتان الاماميه بمطرقه رغبه من اخته
السلام عليكم و رحمة الله
رأيت في حلمي أن ابنة عمتي و انا نائمة تزيل لي اسناني
اريد تأويل هذا الحلم من فضلكم و شكرا
حلمت أن اسناني وضروسي السفلي تتساقط جميعها في يدي ورايتهما تتفتفت
حلمت بانني تشاجرت مع اختي الصغيره وقمت بعضها واذا بي اقتلع احدي اسنانها وقعت علي الارض وقامت بأخذ السن وارجعتها الي مكانها وكانه اسنانها كلها متخلخله وكنت افكر كيف تأكل الطعام واسنانها تتحرك … علما بانها تعاني من حاله نفسيه وتتعالج عند الطبيب .. ارجوكم اريد تفسير
حلمت ان فلقه سناني وسعت لدرجة اني حسيت هايبقي شكلها ويحش علي فكره انا متزوجه وحامل
رايت زوجي اسنانه ناصعة البياض وهو بالحقيقه ليش كذالك ماتفسير هذا
حلمت اني كنت رجعت المدرسه تاني مع اني في الجامعه وقاعدين نذاكر انا وصحابي وبعدين فجأه حسيت ان سناني بتتلخلخ وفتحت ايدي وفتحت بؤي عشان اشوف السنه دي دي لقيتها وقعت في ايدي بس كانت بيضه وصغيره السنه السفليه الاماميه ومعليهاش دم قولت لصحبتي تعالي نروك الحمام بسرعه اغسل بؤي من الدم قالتلي طب اجري واحنا بنجري في الطريق لقيت السنه اللي جمبها وقعت كمان وبعدها الضرس السفلي السفلي اللي ف الناحيه الشمال وقع مع العلم انه مسوس في الحقيقه وكنت بفكر فيه قبل ما انام ان اروح للدكتور بس مكنتش بفكر ف سناني. ولما رحت الحمام ف الحلم وغسلت بؤي ملقتش دم نزل
بسم الله الرحمن الرحيم
عمري 40عام حلمت أن 2 اسناني العلوين واحد الي في المقدمه والي بجنبه من جهة اليمين سقطت في يدي وحاولت ارجعها
?
عمري 21 سنة عزباء تركت خطيبي من فترة قصيرة وحلمت بأني رجعت له وفي الحلم سقط ثلاثة اسنان من السفلي فقلت له كيف سقطو اسنان ورجع طلع محلهن انا في جيل لا يطلع لي اسنان عندما وضعت يدي على فمي وقعو الثلاث وكانوا صغار ماذا يعني هاذا الحلم ؟؟؟ وانا مسحوره واتعالج لسحر منذ سنتين كل تصرفاتي وافكاري وطبعي تغيير هو يتحكم فيي السحر وفجأة حلمت هاذه الحلمه ماذا يعني ؟
حلمت انو كنت المس سني العلوي الايمن بلساني بعدين فجأة لقيتو مشقوق من فوق وفيه شوية دم بس الدم ماكان ينزل كان على مستوى اللثة فقط ومو متذكرة باقي التفاصيل . ارجو منكم الرد وعساه خيرا إن شاء الله
انا عم صلح اسناني وبفكر فيهن كتير وبسبب الحظر توقف التصليح وهنن محفورين مجهزين للتلبيس ثلاث اضراس وسنين شفت حلم انه اسناني سقطو كلهم بيدي بعد انا تفقدت احد الاسنان اللتي لم تنتهي إصلاح ما تفسيره وشكرا
حلمت ان مكان السنه العلويه في النص فارغ و غير موجوده مع عدم وجود دم تماماً، و من دون وجع بلمره، مع العلم اني مخطوبه من فتره و علي وشك الزواج انشالله، ما معني هذا الحلم؟ من وقت استيقاظي من النوم و هذا الحلم يسيطر تماماً علي تفكيري، يا ريت حد يفسر لي معني هذا الحلم و شكراً جزيلاً
حلمت انو ثلاث اسنان مسوسات وثنين مش موجودين ويل اسنان الباقي جديدة
سلام عليكم رايت منام بان الاسناني على حهت اليمين غير مصطفة وانها واحد فوق الاخرى وظهور الاسنان جديدة و مجموعين فمكان واحد
وكلهم فحالة جيدة وواحد فيهم كان يعطيني ألم بس لم ازله ظل فمكانه
شكرا
السلام عليكم ماهو تفسير حلم خلع ضرس بيدي مع دم قليل ثم خروج ضرس آخر مكانة في نفس الوقت
حلمت انو من بين أسناني كان في ٣ اسنان الأولى تكسر نصفها و الإثنين الاخريين لونهم اسود (علما انو الأسنان تبع الأسنان يلي بالفوق في الوراء )
جزاكم الله خيرا
حلمت اني اسلامى الأمامية بيضاء وهى فى الحقيقة العكس
السلام عليكم حلمت اني رايت اسناني بالمرأة واذ بهنالك اسنان جديدة ظهرت تحت الاسنان السفلية يعني عند كل سن من الاسنان السفلية 3اسنان عاللثة من الخارج فما تفسير ذلك وجزاكم الله كل خير
عليكم السلام
مفاجأت سارة كإنجاب اولاد .صداقات جديدة ورزق سريع وعلاقات عائلية واجتماعية قوية ان شاء الله
حلمت انه اسناني السفلية كلها وقعت وبس ظل سنين من فوق بدون دم
السلام عليكم حلمت ان سنتي السفلي تلخلخ زعللت وعيطت جامد روحت ابص في المرايه لقيتها وقعت في ايدي جريت علي الاوضه وريتها لخلتي قولتها وقعت هيبقا شكلي وحش دي من سنتي الي تحت قالت هتطلع غيرها قولتها لا مش هتطلع لاني عندي 25سنه وصاحيه علي وجع اسناني ارجو تفسير الحلم
حلمت كانت اسناني السفلى الاخيرة كانت متخلخله و على وشك السقوط ذهبت للمراية و رايت مجموعه من السلابيح تاكل بها و تجعلها على وشك السقوط كانت ثلاث اسنان من جهه اايسرى و واحد من جهه اليمنى و كنت اسمع صوت تهشم سني من قلل السلابيح او الديدان
تحلمت اننا في بيت اهلي القديم امي طلعت كل اسنانها من دون ما تتألم وبعدها انا رحت للحمام ووقفت قدام المرايه وطلعت اسناني الاماميه العلويه بدون الم وقعدت ابكي من الفجعه وابوي جا يهديني ويقول عادي تصير هالاشياء شوفي امك طاحت اسنانها وعادي ما بكت ولا شي
بعدين صرت بدون اسنان
بعدين صرت امسك خصل شعري واحط فيها بنسه (مشبك شعر )
بعدين صرت اسحب البنسه ويطلع شعري مع البنسه من جذوره وكمان بدون الم الين صرت بدون شعر
وخلاص خلص الحلم هذا الحلم حلمت به بنتي عمرها٢٢سنه ومتزوجه
حلمت اني بنظف سناني بس مشعايز انظفهم الا لما يركب سنتيين تحت
حلمت اني اسناني العلوية بتتلخلع وبعدين انا بقيت كثير وبعدين اسناني وقعت وظهر تحتها أسنان جميلة
رايت في المنام بان ضرسي السفلى من جهة اليمين تفتت وخفت على ضرسي كيف تفتت بهده الطريقة ودكرت اسم عمي رضوان وهو زوخ خالتي قال سوف ننزعها وعندما دهبت لنزعها لم تنتزع من جدورها وتفتت العلوي منها ‘وقلت ليس الان يجب ان نقتل العرق اولا و‘بينما انا اسير اخرج من فمي فتات الضرس ‘وبعدها وكانني داهبة لطبيب اسنان مختص ادكر اسم عبد الوهاب وهواخي ‘سقطت السن الامامية وهي مهترءة ومريضة جدا فنظرت في المراة وبكيت وقلت اسناني تسقط ‘وسقطت بيدي ‘اولها احس بالفتات وبعدت سقطت من جدورها وكانت بحالة رهيبة مهترءة ومريضة جدا ‘وافقت على الاذان وجزاكم الله خيرا
رأيت في منامي سقوط أسناني الخلفية العليا بدون دم
حلمت اني ازيل اسناني السفلية بيدي بدون الم وتظهر لي اسنان جديدة تحتها ماهو التفسير لهذا الحلم؟
سن زائدة أمامية السفلى انخلعت واخدها بيدي ورماها الي الارض ،من فضلكم اخبروني تأويل هذا
السلام عليكم انا حلمت ان سن ما اسناني السفلية يتخلخل ويخرج منه دم
حلمت انه رفيقتي عندها سن قالعته سن من الأسنان العلوية الضاحكة شو التفسير
حلمت انه سقط احد اسناني السفليه ونزل دم قليل فسألت ماما قالتلي انه هيتعوض؟
ممكن تغيير حلمي حلمت أنوا سقطت على ارض وضربت سني سفلي بس ما نخلع بس ضربه عليه
حلمت اني لصقت على اسناني الماس غير حقيقي للزينة وعند ما ازلتهم وجدت اسناني قد صغرت او زهب شي منها
حلمت سقط سن سفلي ف يدي ونزل دم قليل فسألت ماما ف الحلم عن سقوط احد اسناني وانا ف هذا السن ف قالتلي هيتعوض، ايه تفسير الحلم ده؟
حلمت سقوط سنة الناب بدون الم خلعته ببدي
رأيت في المنام ان حماة ابنتي بدون اسنان وقد بان عليها المرض والتقدم في العمر
ملاحظه . حماة ابنتي ظلمت ابنتي كثيرا ولان تسعى الى طلاقها بدون اي سبب رغم ان خطيبها متمسك بها جدا ولا يريد الطلاق
حلمت بأني نائم فطرق الباب فتحت وجدت صديقتي ترتدي ثوب مريم العذراء أبيض اللون تبسمت لي إذ بشعاع أبيض يخرج من فمها إبتعدت شيئاً فشيئاً وتحولت أسناني الأربع السفلية لخراب
حلمت انه أسناني الأمامية العلوية 3 أسنان تسقوط بدم وأمسكها بيدي وبنزلها في كيس بدون ألم وكنت ابكي
خير وزرق ان شاء الله..
من فضلك راجع الموضوع ستلقى تفسير حلمك بالتفصيل.
رآيت ان سن اناب وسن الي حده نزلن من دون دم ولا آلم ولا هن مسوسات واحد منهن نزل بفمي اخي الاكبر قال لي بدنة نروح على ابو عامر مشان يساويلك ياهن وفي الحقيقة ابو عامر مو بطبيب اسنان اتمنا تردلي خبر شيخ جزاك الله خير
رايت احد اسناني العلويه تسقط واخر نائب السفلي يسقط واحد اضراسي العلويه السنين كان فيهو بعض اسوس وكنت اود ان انظفهو والضرس خرج منهو صرصور ارجو الافاده
حلمت اني ماشي انا وواحد صاحبي وشديت سنتي من الصف اللي تحت اتقلعت من غير دم وشديت التانيه اللي قصادها قلعتها كمان من غير دم وكان بيطلعوا بسهوله من غير وجع
مالقيت اسنان اصلا انا مركبة تقويم بالحقيقة وبالحلم كمان بس فتحت تمي لقيت مافي اسنان اصلا ولا دم بين كل سن وسن في سن مو موجود
رأيت أسنان أخي أنه تم تنظيفها ورجعت ناصعه البياض حيث وفي الواقع انها ليست بيضاء
السلام عليكم رأيت في المنام ان سني الامامي خلل وسوف يقع لامحال وانزعجت كثيرا لانه سوف يقع …ورايت منام آخر اني اتصور بجهازي مع حوت وكنت اسبح معه وكنت خائف قليلا لانه حوت لكنه كان أليف ولايؤذني
عليكم السلام
صعوبات وعقبات كانت في طريقك وسوف تزول وتستقر أمورك قريبًا إن شاء الله
السلام عليكم
حلمت ان ابنتي البالغه من العمر ١٤ سنه نائمه في مكان ظلام بعد ان ايقضتها وجدت شعرها من الجنبين ابيض مجعد فخفت وهربت وتبعتني للغرفه المجاوره وقد زال الشيب منها ولكنها تقول ماما حلمت جسمي كله عناكب فقلت لها سمي بالله لابأس ولاحظت ان بين سنيها الامامين شيء اسود .. ماتفسير الحلم ): ؟؟؟؟
ما تفسير موت الأم لصديقي في المنام
حلمت ان ابني وهو يبلغ من العمر ١٤ سنة انه تشاجر مع اصحابه واتخلعت السنتين الاماميتين العلويتين ولكن مازالا في اماكنهما بس بيمسكهم يحركهم علما بأن الاسنان الظاهرة امامي هي سنان لبنية وليست الدائمة
السلام عليكم انا حلمت انو سني كسر ومسوس ولكن بدون الم ودم وقعدت انضف بي بيدي واطالع التسوس
حلمت اني بغسل أسناني وفجأة كل اسناني تتسقط في يدي وكنت ابكي بشدة
حلمت ان فلقه سناني وسعت لدرجة اني حسيت هايبقي شكلها ويحش علي فكره انا متزوجه وحامل
حلمت كنت ببيتنا وكان فمي كثير بيوجعني وبلحظة حطيت ايدي ع فمي نزلو كل الطواحين والانياب وحتي سناني ظلهم بس يلي من قدام.واحنا عندنا ساحة كبيرة قدام البيت وكانت كلها محفرة حفر حفر وجاية بزاوية الساحة رجال كلهم لابسين نفس اللبس.جالسين عالارض بس مايحكو مع حدا والجهة الثانية من الساحة كانت مخلطة نسوان وصغار والوسط موجود حفر بالارض
مشاكل وخلافات عائلية وإن شاء الله سوف تزول قريبًا
حلمت ان اسناني الاماميه العلويه تسقط في يدي مع خروج الدم ماتفسير الحلم وجزاك الله خيرا
ماذا كان الرد من فضلك
اني امرأة مطلقة و حلمت انه احد الانياب السفلية سقط في ايدي و ما كان فيه اثر لدم او تسوس ، شنو تفسيره بالنسبة لابن سيرين ؟
حلمت ان جميع اسناني السفليه تفككت لاني سحبت شي شبيه بالخيط وسقطت جميعها ورحت اجمعها لاذهب للمشفى لتصليحها ماتفسيره جزيتم خيراً
حلمت اني خلخلت شقف السن في الفك العلوي سنه الاماميه من الجه اليمين وقتلعت السنه الا يدي بدون دم وضلة بيدي
حلمت بأن انياب اسناني العلوية و السفلية من جهة الٱيسر تتخلخل وفي المرة الثانية من الحلم نابي العلوي من جهة الٱيسر قمت بخلعه ما تفسير ذالك
و شكرا لكم
انا ارملة… حلمت بظهور ٣ اضراس مجاورة لاضراسي(صف تاني) من جهة اليمين.. بياض ناصع.. دون سقوط اي من الاضراس الأساسية..
مع الشكر لكم
حلمت ان اسناني كلها اعوجت و امي تقولي ماذا حدث اسنانك كانت جمستقيمه لماذا مالت هكذا
حلمت انه احد اسناني العلويه مخدوش من الأسفل ويتحرك
انا ةمراه متزوجه وحامل انا حلمت ان رأيت سنتان وأربع او خمس ضروس فعندما أمسكت السنتين تكسرون والضروس سليمه فا قمت ياعطائهم لي ولدي الصغير وقلت له اعطيهم لابيك وحينما خرج من المنزل رأيت طفل صغير يحاول ان ياخذ منه الضروس ولاكنه لم يعطه له وزهب بيها لأبيه
حلمت ان اسناني الاماميه سقطو كلهم وقمت بالبكاء وقلتو ماذا أفعل من غير اسنان بعدها أتى زوجي وقال لي لاتخافي وحضني وقال سوف اقوم بتركيب أسنان لكي
Halimt anna 3ala alfak asofli
maa fi adras wala anyab
انا امراه متزوجه و عندي طفل واحد
حلمت أن الناب يسقط ز يخرج مكانه ناب اخر ابيض ناصع و أن السن الذي جانب الناب يسقط أيضا
ذرية صالحة إن شاء الله وهم يزول عنكي ومشكلة يتم حلها
رأيت ضرس جديد يطلع لى ناصع البياض وجديد ومكتمل وكنت سعيدة به جدا
رايت وقوع سن ابنتي الامامي وبدون دم ولما طلع السن كان سن مريض شكله مو طبيعي
حلمت انو أسناني تخلخت ووقع الناب اليسار وجواتو دم ع سواد
حلمت اني اشوف الجهه السفليه اليسار من اسناني بيضاء ما عدا ضرس واحد فيه نفس الكلس الاسود بالطواحين ما تفسير هالحلم
السلام عليكم ورحمة الله وبركاته، لقد رأيت اليوم وبعد صلاة الفجر في منامي سقوط اسناني العلوية من جهة اليمين والسن كان عبارة عن نصف وليس سن كامل ولونه لم يكون ابيض لامعا ولم يكن به دم ايضا بل كان لونه ليس ابيض لامع وكان في يدي ، فماذا يعني ذلك وعلى ماذا يدل اريد جوابا بشكل سريع.
انا لدي طفلة صغيرة اسمها عائشة حلمت بها في المنام بعض صلاة الفجر انها كانت تبدو جميلة جداً و ان ظهر لديها ٣ اسنان لبنيات جميلة و بيضاء
حلمت بألم في أسناني الخلفيه السفليه الجانب الأيسر وعندما رأيت ما في سني رأيت سوس فيه مع العلم بأنني عزباء وأدرس في كليه
اليوم عندما نمت الضهر حلمت بأن اخر ضرس من اسناني السفليه قد سقط لكن عند سقوطه رأيت فيه قليل من الدم جدا قليل وتسوس قليل بعد تحول لون الضرس الى الاحمر المائل للبرتقالي وبعدها بقليل بدا يخرج من مكان الضرس بعض القطع المتبقيه منه وملئت فمي ولونها ايضا الاحمر ارجو التفسير ف انا خائفه منه علما انا عازبه
عندك قلق وتوتر وبعض المشاكل وقد يوجد أصدقاء وصديقات يسببون لك متاعب نفسية فأبتعدي عنهم وفكري جديًا في مستقبلك وحياتك
رئيت في المنام ان احد يطلب مني تنظيف اسناني وان لونها اصفر وقلت له لدي التهاب في اللثة ولا أستطيع أن افرشيهم كنت افتح فمي واقول له انظر عندي التهاب في اللثة ولا أستطيع أن افرشيهم وانها ستؤلمني لو فرشيتهم وهو ظل يقول لي فرشيتهم يعني نظفهم وانتهى المنام انا شاب اعزب كنت خاطب وفسخت الخطوبة من شهر تقريبا
حلمت اني تزوجت واني في قاعة الحفلات جاء زوجي بالخاتم فإذا به ضيق على اصبعي …للعلم انه احضر لي خاتمين من فضة وعليه نقوش
رأى زوجي ان واحد فقط من الاسنان السفلية في المقدمة اقصر من السنين الاثنين المجانبين له فما معناه؟
حلمت بان أسناني كله تسقط وكانت متسوسه و من ثم تعاود الظهور مجدد وتسقط
رأيت الانياب العلويه تنتفخ ثم حركتهن بيدي ثم سقطت ماهو تفسير هاذا الحلم؟
مع العلم
نزلت دم مع نزولها بس بكائي كان شديد جدا
مع العلم اني عزياء
نزول اسنان وانياب بيضاء من فمى كتير ومعها عظام صغيره قطع صغيره ونفس لون الاسنان ابيض جدا
حلمت أن السن الاماميه العاليه اليمني مثقوبه
ما هو التفسير مع العلم متزوجه ولدي طفل و حامل
اليوم عندما نمت الضهر حلمت بأن اخر ضرس من اسناني السفليه قد سقط لكن عند سقوطه رأيت فيه قليل من الدم جدا قليل وتسوس قليل بعد تحول لون الضرس الى الاحمر المائل للبرتقالي وبعدها بقليل بدا يخرج من مكان الضرس بعض القطع المتبقيه منه وملئت فمي ولونها ايضا الاحمر ارجو التفسير ف انا خائفه منه علما انا عازبه
مرحبا . انا رايت في المنام اني ارى داخل فمي عدة اسنان غير الشكل الطبيعي متشابهة بزكزاك تقريبا من اربع او خمس صفوف والاسنان نظيفة وبيضاء ولكن في كل صف يوجد قليل من بقايا الطعام او ماشابه ذلك علا احد الاسنان وكل صف يتالف تقريبا من ست او سبع اسنان تقريبا . شكرا مسبقا
حلمت ان اسناني العلوين سقطت لكن بقيت معلقه بخيوط ورجعتهم وضغطت عليهم وفضلت ابكي وبكت معي بنت عمي كثير
حلمت بان اسناني تؤلمني بشده ثم تخلخل الناب السفلي جامد و كان علي وشك السقوط و لكنه لم يسقط انا عزباء
حلمت بأن جميع اسناني سقطت من غير ألم وكنت بضحك وشكل فمي كان جميل